Take a look at the Recent articles

Unusual histology in primary pulmonary synovial sarcoma: Pearls to avoid misdiagnosis

Hartel PH

Departments of Histopathology, Sligo University Hospital, Sligo, Ireland

Department of Medicine, Section of Pulmonary and Critical Care Medicine, West Virginia University School of Medicine, Morgantown, WV, USA

E-mail : aa

Parker JE

Department of Medicine, Section of Pulmonary and Critical Care Medicine, West Virginia University School of Medicine, Morgantown, WV, USA

DOI: 10.15761/MCRR.1000105

Article
Article Info
Author Info
Figures & Data

Abstract

Primary pulmonary synovial sarcoma is rare and poses a diagnostic challenge when unusual histologic features are npresent and t(x;18) is negative. Seventeen cases of primary pulmonary synovial sarcoma were evaluated to define unusual histologic features that may result in misdiagnosis. Clinically and radiologically these tumors showed identical characteristics of typical pulmonary synovial sarcomas, as they did histologically with dense cellularity, interlacing fascicles, hyalinized stroma, hemangiopericytoma-like vasculature, focal myxoid change, and entrapped benign pulmonary epithelium. They differed in that unusual histologic features not usually seen with pulmonary synovial sarcoma but typical of other neoplasms were focally present. These included Verocay bodies, rosettes, papillary structures with fibrovascular cores, adenomatoid change, and rhabdoid morphology. Immunohistochemistry demonstrated typical expression of focal cytokeratins, vimentin, and occasional CD99, Bcl-2, and smooth muscle actin. These tumours were often negative or showed weak amplification for t(x;18). In conclusion, awareness of focal unusual histology in otherwise typical pulmonary synovial sarcoma can prevent misdiagnosis, particularly when t(x;18) is negative.

Keywords

pulmonary, pleura, synovial sarcoma

Introduction

Primary pulmonary synovial sarcoma is an aggressive tumor sharing common histologic features with soft tissue synovial sarcoma [1-5]. Molecular testing for the pathognomonic t(x;18) chromosomal translocation has enabled diagnostic confirmation in approximately 90% of cases [6]. In t(x;18) negative cases, diagnosis must rely on histologic and immunophenotypic features. The differential diagnosis of primary pulmonary synovial sarcoma is particularly challenging when histologic features unusual to synovial sarcoma, but common to other neoplasms are focally present. This challenge is compounded with negative t(x;18) findings. We evaluated 17 cases of primary pulmonary synovial sarcoma where unusual histology was present to bring awareness of atypical morphology in this entity.

Materials and Methods

Sixty cases of known pulmonary synovial sarcoma from 1981 to 2006 were retrieved from tissue archives. Seventeen cases that contained focal unusual histologic features were included. Computed tomography, magnetic resonance imaging, or positron emission tomography/computed tomography studies were available in 4 cases. Follow-up data were obtained from patient records. Hematoxylin and eosin stained sections were available for each case. Tumors were subtyped as monophasic or biphasic according to World Health Organization criteria [7]. Grading by tumor cell differentiation, mitotic rate, and necrosis was performed following the French Federation of Cancer Centers (FNCLCC) scheme. Unusual histologic features were noted and immunohistochemistry was performed on paraffin embedded sections using commercially available antibodies (Table 1). Molecular analysis was performed on RNA extracted from paraffin embedded samples. SYT/SSX RNA fusion transcripts resulting from t(x;18) (p11;q11) translocation were detected using real-time reverse transcriptase-polymerase chain reaction.(8) Subtyping of SYT/SSX 1 and 2 fusion transcripts was performed using methods previously described [8].

Table 1. Antibodies.

Clone

Titer

Source

Pancytokeratin

AE1/AE3

1:200

Roche, Mannheim, Germany

Cytokeratin-7

OV TL12/30

1:160

Dako, Carpinteria, CA

Epithelial membrane antigen

E29

1:100

Dako, Carpinteria, CA

Thyroid Transcription Factor-1

8G7G3/1

1:25

Dako, Carpinteria, CA

Cytokeratin 5/6

D5/16B4

1:20

Dako, Carpinteria, CA

Calretinin

CAL 3F5

1:50

Zymed, San Francisco, CA

Bcl-2

124

1:20

Dako, Carpinteria, CA

CD56

123C3

1:100

Caltag, Burlingame, CA

CD99

12E7

1:80

Dako, Carpinteria, CA

S-100

Polyclonal

1:800

Dako, Carpinteria, CA

Smooth Muscle Actin

1A4

1:800

Sigma, St. Louis, MO

Results

Clinical findings

Pertinent clinical features are presented in Table 2. The study group included 6 males and 11 females ranging from 10 to 76 years of age (mean, 45). The most common presenting symptoms were dyspnea and shortness of breath. Tumors were distributed in the lung [8], pleura [8], and mediastinum [1]. Surgical procedures of primary tumour included lobectomy [4], excision [8], and biopsy [5]. Local recurrence, metastases, and survival data did not differ from typical pulmonary synovial sarcoma (Hartel et al). Radiology included 2 computed tomography studies, 1 magnetic resonance imaging study, and 1 case with fluorine-18-fluorodeoxyglucose positron emission tomography/computed tomography images. Findings were similar to typical pulmonary synovial sarcoma as previously reported Figure 1 [9].

Table 2. Clinical findings.

Mean age, years

45

Gender:

Male

Female

6

11

Common symptoms:

  Dyspnea 

  Chest pain

  Cough                                                             

  Pleural effusion

5

5

4

3

Tumor location:

  Lung

  Pleura

  Mediastinum 

8

8

1

Treatment:

  Lobectomy

  Excision of mass

  Open biopsy

4

8

5

Figure 1. Synovial sarcoma in a 36 year-old male with dyspnea and pleuritic chest pain. Axial T2-weighted (2110/57.6) Magnetic resonance image shows greater contrast amongst internal components, with well demarcated spaces (arrowheads) which suggest cysts.

Gross and histologic findings

Gross and histologic findings are presented in Table 3. Tumors ranged in size from 0.6 to16 centimeters (mean, 7.5) and were well-circumscribed, soft, tan masses with foci of necrosis, hemorrhage, and cystic change. Histologically, tumors were monophasic [10] or biphasic [4]. Tumors were grade 2 [11] and grade 3 (poorly differentiated, 6) according to French Federation of Cancer Centers (FNCLCC) grading. Among poorly differentiated tumors, 16 were monophasic and 1 was biphasic. Tumor cell morphology included spindle cells or a combination of spindle and round/epithelioid cells. Mitoses ranged from 3 to 95 per 10 high power fields (mean, 18). Necrosis was present in 13 tumors and rarely extensive [1].

Table 3. Gross and histologic findings.

Mean tumor size, cm

7.5

Subtypes

  Monophasic

  Biphasic

13

  4

Unusual (common to other neoplasms, focally present)

  Verocay body-like areas

  Vague rosette formation

  Papillary structures

  Adenomatoid areas

  Rhabdoid morphology

  7

  6

  3

  3

  2

Histologic features typical of pulmonary synovial sarcoma were seen and included dense cellularity, interlacing fascicles, and hyalinized or eosinophilic stroma. Hemangiopericytoma-like vasculature (15), focal myxoid change [11] and benign entrapped pneumocytes [12] were also seen. Unusual histologic features were focal, noted in at least 1 but no more than 4 slides per case, varying from 4 to 90 high power fields and included Verocay body-like areas [7], vague rosette formation [6], well-formed papillary structures [3], adenomatoid areas [3], and rhabdoid morphology (Figure 2) [2].

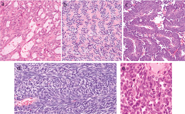
Figure 2. Typical histologic features of pulmonary synovial sarcoma characteristically composed of densely cellular interlacing fascicles (a). Unusual features that may lead to misdiagnosis include papillary formations (b), Verocay body-like areas (c), adenomatoid appearance (d), and rhabdoid morphology (e) or vague rosette formation.

Immunohistochemical and molecular findings

Immunohistochemical findings are presented in Table 4 and molecular findings in Table 5. Immunohistochemical studies showed focal positive membranous or cytoplasmic staining for epithelial markers including pancytokeratin (14), epithelial membrane antigen [8], and cytokeratin 7 [7], while three cases showed focal immunoreactivity for all 3 epithelial markers. One tumor was also focally positive for cytokeratin 5/6. Diffuse immunoreactivity was seen with Bcl-2 in four cases and CD99 in seven cases. Focal immunoreactivity was present with CD56 [5], S-100 [4], calretinin [3], and smooth muscle actin [2]. Entrapped benign pneumocytes, present in seven cases, were immunoreactive with thyroid transcription factor-1 and epithelial markers.

Table 4. Immunohistochemical findings.

Pancytokeratin

14

Epithelial Membrane Antigen

 8

Cytokeratin -7

 7

Calretinin

 3

Cytokeratin 5/6

 1

CD99

 7

Bcl-2

 4

CD56

 5

S-100

 4

Smooth Muscle Actin

 2

Table 5. Molecular findings.

Total t(x;18) positive

  Total SYT/SSX1

  Total SYT/SSX2

  Total t(x;18) positive, SSX unknown

Total t(x;18) negative

9

3

5

1

8

The chromosomal translocation t(x;18) was present in 9 cases studied in which 3 were fusion type SYT/SSX1 and 5 fusion type SYT/SSX2. One case was reported as t(x;18) positive without information on the SSX fusion type.

Discussion

Synovial sarcoma, although rare, is a primary pulmonary neoplasm with distinctive histology. The presence of focal unusual histologic findings characteristic of more common epithelial and mesenchymal tumors may lead to misdiagnosis. This is particularly problematic in small biopsies or in primary pulmonary synovial sarcomas that are negative for the pathognomonic t(x;18) translocation. We present 17 primary pulmonary synovial sarcoma cases with unusual histologic features.

The focal unusual histology in primary pulmonary synovial sarcoma can erroneously suggest more common primary and metastatic pulmonary neoplasms. Verocay body-like areas can occur [1] which are similar to those seen in malignant peripheral nerve sheath tumor [12]. The stromal background of malignant peripheral nerve sheath tumor, however, typically lacks hyalinization and appears more basophilic. While focal immunoreactivity for S-100 can be present in both tumors [12], primary pulmonary synovial sarcoma is often immunoreactive for cytokeratin 7, a finding not generally seen in malignant peripheral nerve sheath tumor [11]. Clinically, malignant peripheral nerve sheath tumors arise from nerve or neurofibroma and are associated with neurofibromatosis type I in approximately two-thirds of cases [12].

Primary pulmonary synovial sarcoma with focal vague rosette formation can lead to misdiagnosis as primitive neuroectodermal tumor [6,12]. Primary pulmonary synovial sarcoma may also be reminiscent of primitive neuroectodermal tumor when the former is poorly differentiated and displays round cell morphology. Unlike primary pulmonary synovial sarcoma, primitive neuroectodermal tumor typically has distinct cell borders, clear cytoplasm, scant stroma, and lacks hemangiopericytoma-like vasculature. Both tumors can express CD99, CD56, and cytokeratins [12,10], although expression of cytokeratin 7 makes a diagnosis of primitive neuroectodermal tumor less likely [13]. Chromosomal translocation t(11;22) is present in 85% of primitive neuroectodermal tumors [6].

Focal well-formed papillary [5] or adenomatoid areas in primary pulmonary synovial sarcoma may be misinterpreted as carcinoma or malignant mesothelioma. In particular, pleomorphic carcinoma can present with spindle cell and adenocarcinoma components. Carcinomas are more cytologically atypical with greater pleomorphism than primary pulmonary synovial sarcoma. Carcinomas may have areas of squamous differentiation or contain tumor giant cells, features not observed in primary pulmonary synovial sarcoma. While cytokeratins are focally expressed in primary pulmonary synovial sarcoma, diffuse positivity for epithelial markers is not characteristic. However, it should be kept in mind that spindle cell carcinomas may also be only focally positive for cytokeratins. Carcinomas are more likely to show an infiltrative growth pattern, regional lymph node involvement, and/or widespread metastases. While pulmonary synovial sarcomas may express calretinin and CK5/6, radiologically they are dissimilar to mesothelioma presenting with a pulmonary parenchymal mass rather than diffuse pleural involvement.

We present 17 primary pulmonary synovial sarcoma cases with focal unusual histologic features that may erroneously suggest more common primary and metastatic pulmonary neoplasms. This unusual histology may be particularly challenging in small biopsies or when t(x;18) is negative. In contrast to usual pulmonary synovial sarcoma, t(x;18) was negative in nearly half of the cases presented here, higher than the expected 10%. Awareness of typical histology of pulmonary synovial sarcoma, their potential misleading unusual morphologic features, and prudent use of immunohistochemistry will prevent misdiagnosis, even in t(x;18)-negative cases.

Conflict of interest

None of the authors have any disclosures or conflicts of interest.

References

  1. Zeren H, Moran CA, Suster S, Fishback NF, Koss MN (1995) Primary pulmonary sarcomas with features of monophasic synovial sarcoma: a clinicopathological, immunohistochemical, and ultrastructural study of 25 cases. Hum Pathol 26: 474-480. [Crossref]
  2. Begueret H, Galateau-Salle F, Guillou L, Chetaille B, Brambilla E, et al. (2005) Primary intrathoracic synovial sarcoma: a clinicopathologic study of 40 t(x;18)-positive cases from the French Sarcoma Group and the Mesopath Group. Am J Surg Pathol 29: 339-346. [Crossref]
  3. Essary LR, Vargas SO, Fletcher CD (2002) Primary pleuropulmonary synovial sarcoma: reappraisal of a recently described anatomic subset. Cancer 94: 459-469. [Crossref]
  4. Okamoto S, Hisaoka 2021 Copyright OAT. All rights reserv al. (2004) Primary pulmonary synovial sarcoma: a clinicopathologic, immunohistochemical, and molecular study of 11 cases. Hum Pathol 35: 850-856. [Crossref]
  5. Suster S, Moran CA (2005) Primary synovial sarcomas of the mediastinum: a clinicopathologic, immunohistochemical, and ultrastructural study of 15 cases. Am J Surg Pathol 29: 569-578. [Crossref]
  6. Fletcher CD, Unni KK, Mertens FE (2002) World Health Organization Classification of Tumors. Pathology and Genetics of Tumors of Soft Tissue and Bone. IARC Press: Lyon, France pp. 427.
  7. Travis WD, Brambilla E, Muller-Hermelink HK, Harris CC (2004) World Health Organization Classification of Tumors. Pathology and Genetics of Tumors of the Lung, Pleura, Thymus, and Heart. IARC Press: Lyon, France pp. 344.
  8. Bijwaard KE, Fetsch JF, Przygodzki R, Taubenberger JK, Lichy JH (2002) Detection of SYT-SSX fusion transcripts in archival synovial sarcomas by real-time reverse transcriptase-polymerase chain reaction. J Mol Diagn 4: 59-64. [Crossref]
  9. Hartel PH, Fanburg-Smith JC, Frazier AA, Galvin JR, Lichy JH, et al. (2007) Primary pulmonary and mediastinal synovial sarcoma: a clinicopathologic study of 60 cases and comparison with five prior series. Mod Pathol 20: 760-769. [Crossref]
  10. Machen SK, Fisher C, Gautam RS, Tubbs RR, Goldblum JR (1998) Utility of cytokeratin subsets for distinguishing poorly differentiated synovial sarcoma from peripheral primitive neuroectodermal tumour. Histopathology 33: 501-507. [Crossref]
  11. Smith TA, Machen SK, Fisher C, Goldblum JR (1999) Usefulness of cytokeratin subsets for distinguishing monophasic synovial sarcoma from malignant peripheral nerve sheath tumor. Am J Clin Pathol 112: 641-648. [Crossref]
  12. Miettinen ME (2003) Diagnostic Soft Tissue Pathology. Churchill Livingstone: New York pp. 463-468.
  13. Kleihues P, Cavenee WKE (2000) World Health Organization Classification of Tumors. Pathology and Genetics of Tumors of the Central Nervous System pp.172-174.

Editorial Information

Editor-in-Chief

Article Type

Research Article

Publication history

Received: May 07, 2018
Accepted: May 23, 2018
Published: May 25, 2018

Copyright

©2018 Hartel PH. This is an open-access article distributed under the terms of the Creative Commons Attribution License, which permits unrestricted use, distribution, and reproduction in any medium, provided the original author and source are credited.

Citation

Hartel PH, Parker JE (2018) Unusual histology in primary pulmonary synovial sarcoma: Pearls to avoid misdiagnosis. Med Case Rep Rev 1. DOI: 10.15761/MCRR.1000105

Corresponding author

Dr. Hartel PH

Histology, Level 4, Sligo University Hospital, The Mall Sligo, Co. Sligo, Ireland

Table 1. Antibodies.

Clone

Titer

Source

Pancytokeratin

AE1/AE3

1:200

Roche, Mannheim, Germany

Cytokeratin-7

OV TL12/30

1:160

Dako, Carpinteria, CA

Epithelial membrane antigen

E29

1:100

Dako, Carpinteria, CA

Thyroid Transcription Factor-1

8G7G3/1

1:25

Dako, Carpinteria, CA

Cytokeratin 5/6

D5/16B4

1:20

Dako, Carpinteria, CA

Calretinin

CAL 3F5

1:50

Zymed, San Francisco, CA

Bcl-2

124

1:20

Dako, Carpinteria, CA

CD56

123C3

1:100

Caltag, Burlingame, CA

CD99

12E7

1:80

Dako, Carpinteria, CA

S-100

Polyclonal

1:800

Dako, Carpinteria, CA

Smooth Muscle Actin

1A4

1:800

Sigma, St. Louis, MO

Table 2. Clinical findings.

Mean age, years

45

Gender:

Male

Female

6

11

Common symptoms:

  Dyspnea 

  Chest pain

  Cough                                                             

  Pleural effusion

5

5

4

3

Tumor location:

  Lung

  Pleura

  Mediastinum 

8

8

1

Treatment:

  Lobectomy

  Excision of mass

  Open biopsy

4

8

5

Table 3. Gross and histologic findings.

Mean tumor size, cm

7.5

Subtypes

  Monophasic

  Biphasic

13

  4

Unusual (common to other neoplasms, focally present)

  Verocay body-like areas

  Vague rosette formation

  Papillary structures

  Adenomatoid areas

  Rhabdoid morphology

  7

  6

  3

  3

  2

Table 4. Immunohistochemical findings.

Pancytokeratin

14

Epithelial Membrane Antigen

 8

Cytokeratin -7

 7

Calretinin

 3

Cytokeratin 5/6

 1

CD99

 7

Bcl-2

 4

CD56

 5

S-100

 4

Smooth Muscle Actin

 2

Table 5. Molecular findings.

Total t(x;18) positive

  Total SYT/SSX1

  Total SYT/SSX2

  Total t(x;18) positive, SSX unknown

Total t(x;18) negative

9

3

5

1

8

Figure 1. Synovial sarcoma in a 36 year-old male with dyspnea and pleuritic chest pain. Axial T2-weighted (2110/57.6) Magnetic resonance image shows greater contrast amongst internal components, with well demarcated spaces (arrowheads) which suggest cysts.

Figure 2. Typical histologic features of pulmonary synovial sarcoma characteristically composed of densely cellular interlacing fascicles (a). Unusual features that may lead to misdiagnosis include papillary formations (b), Verocay body-like areas (c), adenomatoid appearance (d), and rhabdoid morphology (e) or vague rosette formation.