Take a look at the Recent articles

Tooth extraction in a patient with juvenile osteoporosis and cardiovascular disease

Tsuyoshi Shimo

Division of Reconstructive Surgery for Oral and Maxillofacial Region, Department of Human Biology and Pathophysiology, School of Dentistry, Health Sciences University of Hokkaido, Ishikari-Tobetsu, Japan

Fumiya Harada

Division of Oral and Maxillofacial Surgery, Department of Human Biology and Pathophysiology, School of Dentistry, Health Sciences University of Hokkaido, Ishikari-Tobetsu, Japan

Kazuhiro Miyamoto

Division of Oral and Maxillofacial Surgery, Department of Human Biology and Pathophysiology, School of Dentistry, Health Sciences University of Hokkaido, Ishikari-Tobetsu, Japan

Tatsuji Odachi

Division of General Dental Sciences I, Department of Oral Rehabilitation, School of Dentistry, Health Sciences University of Hokkaido, Ishikari-Tobetsu, Hokkaido, Japan

Masahiro Ishikawa

Division of Oral and Maxillofacial Surgery, Department of Human Biology and Pathophysiology, School of Dentistry, Health Sciences University of Hokkaido, Ishikari-Tobetsu, Japan

Karnoon Shamsoon

Division of Reconstructive Surgery for Oral and Maxillofacial Region, Department of Human Biology and Pathophysiology, School of Dentistry, Health Sciences University of Hokkaido, Ishikari-Tobetsu, Japan

Division of Clinical Cariology and Endodontology, Department of Oral Rehabilitation, School of Dentistry, Health Sciences University of Hokkaido, Ishikari-Tobetsu, Hokkaido, Japan

Takashi Saito

Division of Clinical Cariology and Endodontology, Department of Oral Rehabilitation, School of Dentistry, Health Sciences University of Hokkaido, Ishikari-Tobetsu, Hokkaido, Japan

Tomofumi Kawakami

Division of General Dental Sciences I, Department of Oral Rehabilitation, School of Dentistry, Health Sciences University of Hokkaido, Ishikari-Tobetsu, Hokkaido, Japan

Yoshihiro Abiko

Division of Oral Medicine and Pathology, Department of Human Biology and Pathophysiology, School of Dentistry, Health Sciences University of Hokkaido, Ishikari-Tobetsu, Hokkaido, Japan

Eiji Nakayama

Division of Oral and Maxillofacial Radiology, Department of Human Biology and Pathophysiology, School of Dentistry, Health Sciences University of Hokkaido, Ishikari-Tobetsu, Hokkaido, Japan

Hiroki Nagayasu

Division of Oral and Maxillofacial Surgery, Department of Human Biology and Pathophysiology, School of Dentistry, Health Sciences University of Hokkaido, Ishikari-Tobetsu, Japan

DOI: 10.15761/SRJ.1000162

Article
Article Info
Author Info
Figures & Data

Abstract

An association between bone metabolism and cardiovascular disease was recently reported. A 45-year-old Japanese man was referred to our hospital for the screening of an intraoral infection before surgery for mitral regurgitation. He had been diagnosed with juvenile osteoporosis and had taken the bisphosphonate alendronate sodium hydrate for >9 years. After a consultation with the patient's primary care physician, we decided to withdraw the alendronate sodium hydrate for 2 months and restart it 1 month before and after the necessary tooth extraction. We performed extraction of the left-side upper and lower molars under local and general anesthesia. The bisphosphonate treatment was withheld before and after the tooth extraction for 3 months. However, at 6 months after the resumption of alendronate sodium hydrate, the hip fracture was caused by falling. In juvenile osteoporosis patients with a mental development delay who are at risk of falling, tooth extraction under continued bisphosphonate treatment is also necessary.

Key words

juvenile osteoporosis, cardiovascular disease

Introduction

'Juvenile osteoporosis' is the term used for osteoporosis that develops in men under the age of 50 and in premenopausal women without disease causing secondary osteoporosis. The first sign of juvenile osteoporosis is usually pain in the lower back, hips, and feet, often accompanied by difficulty walking. Physical malformations include abnormal curvature of the upper spine (kyphosis), loss of height, a sunken chest, or a pigeon chest deformity [1,2]. These physical malformations are sometimes reversible after juvenile osteoporosis has run its course [2].

It has been speculated that some specific causative gene(s) exist in individuals with juvenile osteoporosis, but only a few patients with juvenile osteoporosis and clear genetic abnormalities have been identified. Both osteoporosis and cardiovascular disease are degenerative diseases that comprise increasing medical and economic burdens in aging populations [3]. As with advanced juvenile osteoporosis, diseases complicating cardiovascular disease from the early stage have also been reported, and the relevance of bone metabolism and cardiovascular disease has drawn attention [4]. An association between bone metabolism and cardiovascular disease was recently reported [5].

Case presentation

In September 2017, a 45-year-old Japanese man was referred to our hospital for the screening of an intraoral infection lesion before he was to undergo surgery for mitral regurgitation. His family history included the suicides of both of his parents and his brothers. He had been diagnosed with a psychological development delay. Over 9 years earlier, he had been diagnosed with juvenile osteoporosis and began treatment with a bisphosphonate (alendronate sodium hydrate, 35 mg/w orally) preparation to prevent fracture.

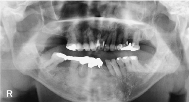
The panoramic X-ray at the patient's first visit to our hospital is presented in Figure 1. The bone mineral density of the alveolar portion was high over the entire jaw. The left upper jaw 8 and the left lower jaw 7 and 8 showed caries and tooth extraction due to poor cleaning performance. The risk of periodontal disease infection was large. A chest X-ray taken with the patient under general anesthesia at the screening in April 2018 is shown in Figure 2. Cardiac hypertrophy was recognized due to insufficient mitral regurgitation.

Figure 1. Panoramic X-ray

Figure 2. Chest X-ray

After a consultation with the patient's primary care physician, we decided to withdraw the alendronate sodium hydrate for 2 months and restart it 1 month before and after the necessary tooth extraction. In April 2018, 2 g of amoxicillin was intravenously administered before the tooth extraction for the prevention of infective endocarditis against mitral regurgitation. Local anesthesia was administered while the patient was under general anesthesia, and the extraction of the left-side upper and lower molars was performed. The teeth roots were firmly adhered to the alveolar bone and root fractures occurred, but the teeth roots could be removed by a partial removal of the alveolar bone (Figure 3). Surgery for mitral regurgitation was performed after discharge, but 6 months after the resumption of alendronate sodium hydrate, the hip fracture was caused by falling. At 12 months' post-extraction, there was no onset of anti-resorptive agent-related osteonecrosis of the jaw (ARONJ), and the patient's course continued to be good.

Figure 3. Panoramic X-ray after teeth extraction

Discussion

Postmenopausal osteoporosis causes an imbalance of osteogenesis as well as bone resorption enhancement due to a sharp decline in estrogen action after menopause, resulting in decreased bone mass and bone strength. Even in men, osteoblast differentiation is suppressed due to a decrease in the production of growth factors involved in the promotion of osteogenesis with aging; the synthesis of bone matrix proteins is also reduced. Since our patient has no disease causing secondary osteoporosis, it was diagnosed as juvenile osteoporosis. The cause of his juvenile osteoporosis is unknown.

In patients with osteoporosis-pseudoglioma syndrome, fracture due to a remarkable decrease in osteogenesis is observed in childhood. In these patients, it was shown that the mutation localized to the co-receptor LRP5 of Wnt, which revealed that the transmission of the canonical Wnt signal was hindered [6]. That report revealed that osteoporosis can be caused by a single genetic abnormality of LRP5, which is a co-receptor of Wnt (which is necessary for canonical Wnt signal transduction along with Frizzled).

In contrast, juvenile osteoporotic patients with LRP6 gene mutation are thought to transmit canonical Wnt signals as Wnt co-receptors as well. Mani et al. reported a familial cases of autosomal dominant inheritance with advanced juvenile osteoporosis and features of metabolic syndrome such as hypertension, diabetes, and hyperlipidemia and complicated with cardiovascular disease from an early stage. From the linkage analysis, the causative gene was mapped to the 12q chromosome, which was revealed to be due to the R661C point mutation of the LRP6 gene [4]. That report showed that abnormalities of single genes involved in the transmission of canonical Wnt signals can lead to early osteoporosis and metabolic syndrome and cardiovascular disorders.

An increasing number of genetic causes of osteoporosis have now been identified due to advances in genetic screening, with variants in genes with dominant, recessive and X-linked recessive inheritance patterns [7-11]. However, the association between PLS3 and cardiovascular disease is unknown, and the pathogenic role of PLS3 protein in bone diseases must be clarified [12]. In our present patient with juvenile osteoporosis, the association between his osteoporosis and cardiovascular disease is unknown, but genetic abnormality of Wnt signal is suspected. As the patient's parents and brothers were deceased, a linkage analysis was not done.

In the 2014 guidelines from the American Association of Oral and Maxillofacial Surgeons (AAOMS), 4 years is indicated as a standard for the administration period of a bone resorption inhibitor related to antiresorptive osteonecrotic jaw (ARONJ) [13]. This is one of the reasons for the U.S. Food and Drug Administration's position that after tooth extraction, low-dose bisphosphonate for <2 years of treatment is safe, and the risk rises slightly for 2–4 years of treatment; the incidence rate increases for >4 years' treatment [13].

Our patient was treated with the bisphosphonate alendronate sodium hydrate for >9 years because of his high risk of fracture; we consulted with his primary care physician before the tooth extraction and withdrew the alendronate sodium hydrate for 2 months before performing the tooth extraction. After the epithelialization of the tooth extracted sockets at 1 month post-extraction, the alendronate sodium hydrate treatment was resumed. However, at 6 months after the resumption of alendronate sodium hydrate, the hip fracture was caused by falling. It is not yet clear whether alendronate sodium hydrate that has been administered for more than 4 years should be withheld both before and after tooth extraction. It is possible that bisphosphonate treatment should not be discontinued in patients at a high risk of falling, or in juvenile osteoporotic patients. We cannot deny the possibility that the hip fracture was caused by the alendronate sodium hydrate withdrawal for 3 months. In juvenile osteoporosis patients with a mental development delay who are at risk of falling, tooth extraction under continued bisphosphonate treatment is also necessary.

References

  1. Evans RA, Dunstan CR, Hills E (1983) Bone metabolism in idiopathic juvenile osteoporosis: a case report. Calcified Tissue Int 35: 5-8.
  2. NIH osteoporosis and related bone diseases national resource center, “Juvenile osteoporosis”, https://www.bones.nih.gov/health-info/bone/bone-health/juvenile/juvenile- osteoporosis
  3. Pirilä S, Taskinen M, Turanlahti M, Kajosaari M, Mäkitie O, et al. (2014) Bone health and risk factors of cardiovascular disease--a cross-sectional study in healthy young adults. PloS One 9: e108040. [Crossref]
  4. Mani A, Radhakrishnan J, Wang H, Mani A, Mani MA, et al. (2007) LRP6 mutation in a family with early coronary disease and metabolic risk factors. Science 315: 1278-1282. [Crossref]
  5. Hu X, Ma S, Yang C, Wang W, Chen L (2019) Relationship between senile osteoporosis and cardiovascular and cerebrovascular diseases. Exp Ther Med 17: 4417-4420. [Crossref]
  6. Gong Y, Slee RB, Fukai N, Rawadi G, Roman-Roman S, et al. (2001) LDL receptor-related protein 5 (LRP5) affects bone accrual and eye development. Cell 107: 513-523. [Crossref]
  7. Biha N, Ghaber SM, Hacen MM, Collet C (2016) Osteoporosis-Pseudoglioma in a Mauritanian Child due to a Novel Mutation in LRP5. Case Rep Genet.
  8. Fahiminiya S, Majewski J, Al-Jallad H, Moffatt P, Mort J, et al. (2014) Osteoporosis caused by mutations in PLS3: clinical and bone tissue characteristics. J Bone Miner Res 29: 1805-1814. [Crossref]
  9. Kämpe AJ, Mäkitie RE, Mäkitie O (2015) New genetic forms of childhood-onset primary osteoporosis. Horm Res Paediatr 84: 361-369. [Crossref]
  10. Rocha-Braz MG, Ferraz-de-Souza B (2016) Genetics of osteoporosis: searching for candidate genes for bone fragility. Arch Endocrinol Metab 60: 391-401.
  11. Balasubramanian M, Fratzl-Zelman N, O'Sullivan R, Bull M, Fa Peel N (2018) Novel PLS3 variants in X-linked osteoporosis: Exploring bone material properties. Am J Med Genet A 176: 1578-1586. [Crossref]
  12. Tarantino U, Iolascon G, Cianferotti L, Masi L, Marcucci G, et al. (2017) Clinical guidelines for the prevention and treatment of osteoporosis: summary statements and recommendations from the Italian Society for Orthopaedics and Traumatology. J Orthop Traumatol 18: 3-36. [Crossref]
  13. Ruggiero SL, Dodson TB, Fantasia J, Goodday R, Aghaloo T, et al. (2014) American Association of Oral and  Maxillofacial Surgeons position paper on medication-related osteonecrosis of the jaw-2014 update. J Oral Maxillofac Surg 72: 1938-1956. [Crossref]

Editorial Information

Editor-in-Chief

Article Type

Case Report

Publication history

Received date: January 31, 2020
Accepted date: February 06, 2020
Published date: February 10, 2020

Copyright

©2020 Shimo T. This is an open-access article distributed under the terms of the Creative Commons Attribution License, which permits unrestricted use, distribution, and reproduction in any medium, provided the original author and source are credited.

Citation

Shimo T, Harada F, Miyamoto K, Odachi T, Ishikawa M (2020) Tooth extraction in a patient with juvenile osteoporosis and cardiovascular disease. Surg Rehabil 4: DOI: 10.15761/SRJ.1000162

Corresponding author

Tsuyoshi Shimo

Division of Reconstructive Surgery for Oral and Maxillofacial Region, Department of Human Biology and Pathophysiology, School of Dentistry, Health Sciences University of Hokkaido, 1757 Ishikari-Tobetsu, Hokkaido 061-0293 Japan

Figure 1. Panoramic X-ray

Figure 2. Chest X-ray

Figure 3. Panoramic X-ray after teeth extraction