Take a look at the Recent articles

Superb microvascular imaging: Evaluating the intraplacental blood flow formation

Julia E. Dobrokhotova

Department of Obstetrics and Gynecology, N.I. Pirogov Russian National Research Medical University, Moscow, the Russian Federation

E-mail : bhuvaneswari.bibleraaj@uhsm.nhs.uk

Andrei R. Zubarev

Department of Obstetrics and Gynecology, N.I. Pirogov Russian National Research Medical University, Moscow, the Russian Federation

Sofya A. Zalesskaya

Department of Obstetrics and Gynecology, N.I. Pirogov Russian National Research Medical University, Moscow, the Russian Federation

DOI: 10.15761/JMT.1000106

Article
Article Info
Author Info
Figures & Data

Abstract

Background: The aim of the research is to to evaluate the intraplacental blood flow characteristic features against the background of the progesterone deficiency within the first pregnancy trimester.

Materials: The study included two groups of the primigravida patients [n=64] having the 7 – 8 weeks gestation. All patients were subjected to checking the progesterone level in blood twice in the morning with an interval of a week. Based on the data obtained, all the patients were divided into two groups: I –with a low level of progesterone in blood(n=21); II – with the normal level of progesterone (n=43). In order to examine the intraplacental blood flow, the Toshiba Aplio™ 500 ultrasound system’s SMI technique was employed. Patients pertaining to both groups were subjected to the intraplacental blood flow examination using the Toshiba Aplio™ 500 ultrasonic device, which featured the SMI technique settings. Within the course of the study, the vascularization index automatic calculation was carried out (VI reflects the blood vessels functional density in the examination area).

Results: In the group of patients with deficiency of progesterone in blood the placenta was not heterogeneous; along the entire length thereof the depauperated intraplacental blood flow and isolated vascular bundles were registered; besides, avascular areas were observed

Conclusion: The SMI technique application accompanied by the vascularization indices calculation allows tomake a judgement in regard to the intraplacental hemodynamics violation and the absence of vascular heteromorphism.

Key words

SMI, Toshiba Aplio™ 500, intraplacental blood flow, microvascular bed, progesterone, placental insufficiency

Introduction

The human health foundations are still laid during the intrauterine period. The leading role in creating favorable conditions for the normal development of pregnancy is played by placenta [1]. The human placenta development appears to be a complex and multistage process. The placentation period shall commence starting from the 3rd week of the intrauterine development. From the 4th and to the 6th, and then from the 8th to the 12th weeks the wave-like increase in the maternal blood inflow to the placenta is observed. The trophoblast invasion processes violation is leading to complications in the pregnancy development starting from the early periods of gestation. Such complications include threatened miscarriage, chorion abnormal formation, embryo death, as well as placental insufficiency [2]. The placental insufficiency development, which manifests itself as a violation of the placenta most important function, appears to be the main reason for the complicated pregnancy course and delivery, perinatal morbidity and mortality. In relation to the placenta formation term, the placental insufficiency could be divided into the primary and secondary ones. The primary placental insufficiency develops during the term of up to 16 weeks, and the secondary one – at the stage of the completed placenta formation [3].

It follows from the above that the key process within the first pregnancy trimester is the establishment of the mother – placenta – fetus system. The disorders in the placentation processes facilitate the development of gestational complications. Examination of the induced abortion formation mechanisms and placental insufficiency will lead to searching for new markers of the pathologic pregnancy course within the preclinical stage [4].

The sufficient progesterone level is a key factor in ensuring the adequate placentation process and the normal pregnancy development. Even before fertilization, the progesterone causes the decidual endometrium transformation and makes it ready for implantation, ensures the myometrium growth and development, its vascularization, as well as supports the myometrium within the dormant state using oxytocin neutralization effect and reducing the prostaglandins synthesis [5]. The threat of pregnancy termination associated with progesterone deficiency is the cause of the placenta intervillous space microcirculatory disorders development, which ultimately is leading to formation of the primary placental insufficiency and disturbed circulation within the unique mother – placenta – fetus functional system [6]. In this regard, the problem of the placental vascular bed study is becoming of particular importance. The ultrasound examination is remaining to be one of the most promising diagnostic methods. Within the obstetric and gynecological practices such diagnostic technologies as pulse Doppler velocimetry, color Doppler imaging and 3D reconstruction of the placental complex vessels are widely employed [7]. However, the study of intraplacental blood flow at the microcirculation level is still remaining to be the subject of research. The innovative SMI (Superb Micro-Vascular Imaging) ultrasonic methodology allows to visualize the infinitesimal vascular structures possessing a low level of blood flow that previously were not subjected to any research [8]. In addition, the high resolving capacity brings to minimum the motion artifacts appearance possibility. The mentioned above advantages of this technique brought us to the idea of employing thereof in the study of the utero-placental blood flow and in the gestational complications diagnostics.

Objective

To evaluate the intraplacental blood flow characteristic features against the background of the progesterone deficiency within the first pregnancy trimester.

Materials and methods

The primigravida patients [n=64] having the 7 – 8 weeks gestation term were subjected to examination. All the patients were relatively examined, which included completion of the detailed medical history, as well as the obstetric and gynecological examination. Patients of both groups were characterized by the menstrual cycle violation in their anamnesis. In both groups the pregnancy occurred independently and spontaneously. Age of the patients varied from 20 to 35 years. The gestational period determination was performed based on the date of the last menstrual period. All patients were subjected to checking the progesterone level in blood twice in the morning with an interval of a week. Based on the data obtained, all the patients were divided into two groups: I –with a low level of progesterone in blood(n=21); II – with the normal level of progesterone (n=43). In order to examine the intraplacental blood flow, the Toshiba Aplio™ 500 ultrasound system’s SMI technique was employed. Patients pertaining to both groups were subjected to the intraplacental blood flow examination using the Toshiba Aplio™ 500 ultrasonic device, which featured the SMI technique settings. Within the course of the study, the vascularization index automatic calculation was carried out (VI reflects the blood vessels functional density in the examination area).

Results

When assessing the content of progesterone in blood, reduction of indicators with Group I of the pregnant women in comparison with Group II was discovered (Table 1).

Table 1. Progesterone content in the patients’ blood indicators

 

Hormone

Patients (n=64) 

Group I (n=21)

Group II (n=43)

Progesterone  (nmole/l)

49.26 ± 2.5*  

77.13 ± 2.1

*p<0.05, in regard to Group II.

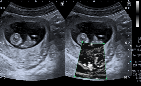
When examining the intraplacental vascular bed with patients possessing normal levels of the progesterone content (Figure 1), the homogeneous placental tissue is visualized, which is characterized by the distinct adequate vascular network and active blood flow.

Figure 1. Normal placenta version. Left: B-mode, right – SMI

Within the group characterized by the progesterone content deficit, the placenta was not heterogeneous; along the entire length thereof the depauperated intraplacental blood flow and isolated vascular bundles were registered; besides, avascular areas were observed (Figure 2).

Figure 2. Pathological placenta version. Left: B-mode, right – SMI.

During the visual evaluation of the results obtained using the SMI technique, special attention was brought to the nature and intensity of the vascular component distribution in the examined area.

The vascularization index determination was carried out automatically. Within the two groups under examination, the percentage of the blood vascular elements (IV) in the study area was ranging from 15.2 to 44.1 per cent. The reliable increase (p<0.05) was registered with the group characterized by the physiological pregnancy course (Table 2).

Table 2. Vascularization index in the study groups comparison

 

Group I

Group II

  1. % (average value)
  1. .3 (15.2-24.2)
  1. .6 (16.1-44.1)*

*p<0.05, in regard to Group II.

During the next stage of our research the correlation analysis of progesterone level in blood indicators and vascularization indices values was carried out (Table 3). The correlation analysis revealed a direct interconnection between the progesterone level in bloodand the vascularization index value (r = 0.95).

Table 3. Correlation between the vascularization index and the progesterone level in blood.

 

Indicator

 

Correlation coefficient

IV

0.95

Conclusions

The SMI technique application accompanied by the vascularization indices calculation allows to make a judgement in regard to the intraplacental hemodynamics violation and the absence of vascular heteromorphism. The decrease in the progesterone level during the early pregnancy term is considered to be one of the factors that can affect the pathological formation of the intraplacental vascular network. The obtained data can serve as an early indication of the primary placental insufficiency development. At the same time, the present issue requires further examination.

Disclaimers

The views expressed in this article are our own and are not an official position of the University.

We did not useany sources of financial support for this study.

Competing interests

The authors declare that they have no competing interests.

References

  1. Sidelnikov VM, Sukhikh GT (2011) Miscarriage: A Guide. M. MIA 536.
  2. Dimitriadis E, Nie G, Hannan NJ, Paiva P, Salamonsen LA (2010) Local regulation of implantation at the human fetal-maternal interface. Int J Dev Biol 54: 313-322. [Crossref]
  3. Burton GJ, Charnock-Jones DS, Jauniaux E (2009) Regulation of vascular growth and function in the human placenta. Reproduction 138: 895-902. [Crossref]
  4. Pijnenborg R, Brosens I, Romero R (2010) Placental bed disorders. Basic science and its translation to obstetrics. Cambridge: Cambridge University Press, USA pp.320.
  5. Haas DM, Ramsey PS (2008) Progesteron for preventing miscarriage. Cochrane Databasa Syst Rev 2: CD003511.
  6. Dobrohotova JE, Zalesskaya SA (2016) Assessment of the forming uteroplacental blood flow in patients with threatened abortion on the background of progesterone deficit in the 1st trimester of pregnancy. Clin Obstet Gynecol Reprod Med 2: 142. 

Article Type

Research Article

Publication history

Received date: January 26, 2017
Accepted date: February 20, 2017
Published date: February 23, 2017

Copyright

© 2017 Dobrokhotova JE. This is an open-access article distributed under the terms of the Creative Commons Attribution License, which permits unrestricted use, distribution, and reproduction in any medium, provided the original author and source are credited.

Citation

Dobrokhotova JE, Zubarev AR, Zalesskaya SA, et al. (2017) Superb microvascular imaging: Evaluating the intraplacental blood flow formation. J Med Therap, 1: DOI: 10.15761/JMT.1000106

Corresponding author

Julia E. Dobrokhotova

Department of Obstetrics and Gynecology, Medical Faculty, N.I. Pirogov Russian National Research Medical University, Moscow, the Russian Federation. Address: 123100, Moscow, Russia.

E-mail : bhuvaneswari.bibleraaj@uhsm.nhs.uk

Figure 1. Normal placenta version. Left: B-mode, right – SMI

Figure 2. Pathological placenta version. Left: B-mode, right – SMI.

Table 1. Progesterone content in the patients’ blood indicators

 

Hormone

Patients (n=64) 

Group I (n=21)

Group II (n=43)

Progesterone  (nmole/l)

49.26 ± 2.5*  

77.13 ± 2.1

*p<0.05, in regard to Group II.

Table 2. Vascularization index in the study groups comparison

 

Group I

Group II

  1. % (average value)
  1. .3 (15.2-24.2)
  1. .6 (16.1-44.1)*

*p<0.05, in regard to Group II.

Table 3. Correlation between the vascularization index and the progesterone level in blood.

 

Indicator

 

Correlation coefficient

IV

0.95