Take a look at the Recent articles

Pituitary metastasis from tonsillar carcinoma presenting with hypopituitarism

Andrew Rohan Macdonald

Department of Endocrinology, Barwon Health, Belarine Street, Geelong, Australia

E-mail : aa

Aleena Shujaat Ali

Department of Endocrinology, Barwon Health, Belarine Street, Geelong, Australia

Department of Endocrinology, Austin Health, 300 Waterdale Road, Melbourne, Australia

Department of Medicine, University of Melbourne, Australia

DOI: 10.15761/CRR.1000242

Article
Article Info
Author Info
Figures & Data

Abstract

Pituitary metastasis remains an important differential in patients presenting with hypopituitarism on the background of previous malignancy and Positron Emission Tomography/ Computed Tomography (PET/CT) must be interpreted with caution in this clinical context. Given its poor prognosis, early detection of pituitary metastasis is vital to maximise treatment options.

We present a case of a 68 year old male who developed a tonsillar squamous cell carcinoma and was treated with definitive chemoradiotherapy. The patient demonstrated excellent response with PET/CT post treatment demonstrating resolution of the neoplasm without distant metastases. One month after completion of treatment, however, he developed hypopituitarism and was diagnosed with biopsy-proven tonsillar metastasis to the pituitary gland. This was treated with palliative radiotherapy as well as hormone replacement.

Keywords

pituitary malignancy; pituitary metastasis, tonsillar malignancy; hypopituitarism; squamous cell carcinoma; positron emission tomography computed tomography

Clinical Case

A 68 year old man living independently with his wife as a cattle farmer presented with left sided painless throat swelling with associated dysphonia and unintentional weight loss. Investigation found a moderately differentiated squamous cell carcinoma in the left palatine tonsil measuring 8x5x4cm with associated ipsilateral cervical lymphadenopathy. Histology demonstrated p16 and p63 positivity without any features of lymphovascular invasion; the initial staging was T4bN2M0. He was treated with doxetaxel/ cisplatin/infusional flurocuracil induction chemotherapy before proceeding to definitive chemoradiotherapy with carboplatin and 56 gray of radiation in 28 fractions. Two weeks post-induction chemotherapy a PET/CT demonstrated excellent response with the original tumour no longer appreciable and normalisation of cervical lymphadenopathy. A repeat PET/CT three months after definitive chemoradiotherapy was also reassuring, without apparent evidence of local recurrence or metastatic disease.

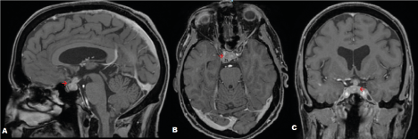
One month after his second PET/CT, and eleven months following his initial presentation, our patient was admitted to hospital with syncope, fatigue and nausea. Investigation revealed hypercortisolism, secondary hypothyroidism, hypogonadal hypogonadism and normal prolactin and growth hormone (Table 1). He was then treated with glucocorticoid, mineralocorticoid, thyroid and testosterone hormone replacement.  He was noted to have polydipsia and polyuria and a clinical diagnosis of diabetes insipidus was made and he was treated with oral desmopressin.  An MRI demonstrated bulky enhancement of the pituitary gland and pituitary infundibulum and marked suprasellar mass-like extension to the suprasellar cistern causing superior displacement and flattening of the optic chiasm (Figure 1). A stereotactic transsphenoidal biopsy of the pituitary gland demonstrated a poorly differentiated squamous cell carcinoma, in keeping with metastasis from a tonsillar primary. After discussion in a multidisciplinary team meeting he commenced stereotactic palliative radiotherapy. During radiotherapy he developed an intermittent left sided 3rd cranial nerve palsy.

Results

Reference ranges

Cortisol

33 nmol/L

110-550 nmol/L

TSH

0.03 mIU/L

0.50-4.00 mIU/L

T3

3.8 pmol/L

3.5-6.5 pmol/L

T4

7.7 pmol/L

10.0-23.0 pmol/L

Testosterone

3.8 nmol/L

6.0-28.0 nmol/L

FSH

1 IU/L

1-8 IU/L

LH

<1 IU/L

2-8 IU/L

Prolactin

243 mIU/L

45-375 mIU/L

Insulin-like growth factor-1

19.6 nmol/L

5.2-29.3 nmol/L

Growth hormone

1.9 ug/L

<5.0 ug/L

Table 1. Biochemistry on presentation with hypopituitarism

Figure 1. Contrast enhanced magnetic resonance imaging scans of sagittal (A), axial (B) and coronal (C) views. Arrows demonstrate mass-like enhancement of pituitary and pituitary stalk with marked suprasellar mass-like extension to the suprasellar cistern causing superior displacement and flattening of the optic chiasm

Discussion

Metastatic disease of the pituitary is a rare condition, accounting for less than 1% of all sellar or parasellar tumours operated on [1]. The prevalence appears to be increasing, likely driven by better screening and increasing survivorship of many people with cancers [1]. The relationship between pituitary metastasis and specific cancers is well established; in particular breast, lung and renal primary malignancies contribute heavily [2]. However, with time and increasing prevalence the diversity of malignancies producing pituitary metastasis is also increasing. Our patient represents the second reported case of pituitary mtastasis from a tonsillar squamous cell carcinoma primary, and the first to present with an endocrinopathy [3].

The mechanism of metastasis to the pituitary is unclear. The posterior pituitary and infundibulum receive a rich blood supply, potentially making it more susceptible to haematogenous seeding from distant malignancies. Among pituitary metastasis reported in the literature the posterior pituitary represents 57%, compared to 13% to the anterior pituitary and 12% to both lobes [2]. The most commonly reported symptoms of pituitary metastasis include diabetes insipidus, ophthalmoplegia, headache, visual field defects and anterior pituitary dysfunction [2,4,5]. Diabetes insipidus is reported in approximately 60% of pituitary metastasis, likely due to pituitary metastasis predilection for posterior lobe involvement [2].

The rates of anterior pituitary dysfunction vary in the literature. A study of 201 patients in Japan over 15 years found the rates of adrenal and thyroid endocrinopathies at 42.3% and 43.4% respectively [5]. Earlier studies had found significantly lower rates of anterior pituitary dysfunction however it is possible that this has been under reported in the past [2,6]. The signs and symptoms of anterior pituitary dysfunction are often subtle and can be overlooked in comparison to their acute neurology or general decline in the face of late-stage malignancy [2]. It is also possible that improvements in biochemical testing explain the increasing incidence [6].

Pituitary metastases are often found in the context of late-stage disease with several other sites of metastasis [2,5]. Even in cases where the pituitary metastasis appears isolated initially, as seen in our case patient, the vast majority of cases develop additional sites of metastasis within 18 months [7]. Pituitary metastasis carry an overall poor prognosis, with mean survival reported between 6 and 13 months [5]. Despite this, treatment options remain available; both surgical resection and radiation have been associated with symptom improvement and increased survivorship [4,5].

Current guidelines recommend follow-up screening with PET/CT for many malignancies, including tonsillar carcinoma [8]. PET/CT has been proven to be better than conventional imaging at both assessing tumour response to treatment and detecting residual tumour, with negative predictive values of 91% obtained within a six-month period [8]. However, its ability to detect metastasis to the brain is suboptimal. When compared to the gold-standard of contrast-enhanced MRI, PET/CT only detects 24% of symptomatic and 19% of asymptomatic brain metastasis [9]. This does raise concern in patients, such as ours, where no metastatic disease is detected on follow up PET/CT but are later detected on MRI once symptomatic. It is entirely possible that the lesion went undetected at the initial screen and progressed until the patient became symptomatic, ultimately limiting treatment options and worsening patient outcomes.

Conclusion 

Given the incredibly poor outcomes associated with pituitary metastasis, early detection is vital to ensure all treatment options are available to the patient. While of obvious clinical use, caution should be used when interpreting PET/CT in this clinical context. Clinicians should have a low threshold for investigating patients with a past history of malignancy who present with any of; diabetes insipidus, ophthalmoplegia, headache, visual field defects and anterior pituitary dysfunction. Particular care should be used when patients present with symptoms explainable by anterior pituitary dysfunction.

References

  1. Komninos J, Vlassopoulou V, Protopapa D, Korfias S, Kontogeorgos G, et al. Tumors Metastatic to the Pituitary Gland: Case Report and Literature Review. The Journal of Clinical Endocrinology & Metabolism. 89: 574-580. [Crossref]
  2. Fassett DR, Couldwell WT (2004) Metastases to the pituitary gland. Neurosurg Focus 16: E8. [Crossref]
  3. Merchant H, Rye DS, Smith JA (2020) Isolated pituitary fossa metastasis from a primary tonsillar squamous cell carcinoma: case report. J Laryngol Otol 134: 369-371. [Crossref]
  4. Patel KR, Zheng J, Tabar V, Cohen MA, Girotra M (2020) Extended Survival After Surgical Resection for Pituitary Metastases: Clinical Features, Management, and Outcomes of Metastatic Disease to the Sella. Oncologist 25: 789-797. [Crossref]
  5. Habu M, Tokimura H, Hirano H, Yasuda S, Nagatomo Y, et al. (2015) Pituitary metastases: current practice in Japan. Journal of Neurosurgery 123: 998-1007. [Crossref]
  6. Castle-Kirszbaum M, Goldschlager T, Ho B, Wang YY, King J (2018) Twelve cases of pituitary metastasis: a case series and review of the literature. Pituitary 21: 463-473. [Crossref]
  7. Morita A, Meyer FB, Laws ER (1998) Symptomatic pituitary metastases. Journal of Neurosurgery 89: 69-73. [Crossref]
  8. Tantiwongkosi B, Yu F, Kanard A, Miller FRV (2014) Role of 18F-FDG PET/CT in pre and post treatment evaluation in head and neck carcinoma. World J Radiol 6: 177-191.
  9. Lee HY, Lee KS, Kim BT, Cho YS, Lee EJ, et al. (2009) Diagnostic Efficacy of PET/CT Plus Brain MR Imaging for Detection of Extrathoracic Metastases in Patients with Lung Adenocarcinoma. J Korean Med Sci 24: 1132-1138. [Crossref]

Editorial Information

Editor-in-Chief

Dung-Fang Lee
The University of Texas

Publication History

Received: April 03, 2023
Accepted: April 19, 2023
Published: April 28, 2023

Copyright

©2023 Andrew Rohan Macdonald and Aleena Shujaat Ali. This is an open-access article distributed under the terms of the Creative Commons Attribution License, which permits unrestricted use, distribution, and reproduction in any medium, provided the original author and source are credited.

Citation

Andrew Rohan Macdonald (2023) Pituitary metastasis from tonsillar carcinoma presenting with hypopituitarism. Cancer Rep Rev 7: DOI: 10.15761/CRR.1000242

Corresponding author

Andrew Rohan Macdonald

Department of Endocrinology, Barwon Health, Belarine Street, Geelong, Australia

Results

Reference ranges

Cortisol

33 nmol/L

110-550 nmol/L

TSH

0.03 mIU/L

0.50-4.00 mIU/L

T3

3.8 pmol/L

3.5-6.5 pmol/L

T4

7.7 pmol/L

10.0-23.0 pmol/L

Testosterone

3.8 nmol/L

6.0-28.0 nmol/L

FSH

1 IU/L

1-8 IU/L

LH

<1 IU/L

2-8 IU/L

Prolactin

243 mIU/L

45-375 mIU/L

Insulin-like growth factor-1

19.6 nmol/L

5.2-29.3 nmol/L

Growth hormone

1.9 ug/L

<5.0 ug/L

Table 1. Biochemistry on presentation with hypopituitarism

Figure 1. Contrast enhanced magnetic resonance imaging scans of sagittal (A), axial (B) and coronal (C) views. Arrows demonstrate mass-like enhancement of pituitary and pituitary stalk with marked suprasellar mass-like extension to the suprasellar cistern causing superior displacement and flattening of the optic chiasm