Take a look at the Recent articles

Neurenteric cyst of the 4th ventricle. Case report and short review of the literature

Potsi ST

Radiology Department, Interbalkan Medical Hospital, Thessaloniki, Greece

E-mail : aa

Arzoglou V

Department of Neurosurgery, AHEPA University Hospital, Thessaloniki, Greece

Chourmouzi D

Radiology Department, Interbalkan Medical Hospital, Thessaloniki, Greece

Karkavelas G

Department of Pathology, AHEPA University Hospital, Thessaloniki, Greece

Drevelegkas A

Radiology Department, Interbalkan Medical Hospital, Thessaloniki, Greece

DOI: 10.15761/RDI.1000138

Article
Article Info
Author Info
Figures & Data

Abstract

Intracranial neurenteric cysts are uncommon and occur usually in the posterior fossa. We report one case of a neurenteric cyst that was situated in the 4th ventricle. Total surgical removal was performed. One hundred cases having been published in the English language literature. We report on the imaging features of the tumor on several modalities as well as its histopathology. We further review the literature regarding this rare benign tumor entity.

Key words

intracranial neurenteric cyst, posterior fossa, CT-MRI imaging

Abbreviations

NCs: neurenteric cysts, CT: computed tomography, MRI: magnetic resonance imaging ,4th: fourth, ND: no described, (-) no exist, (+) exist

Introduction

Neurenteric cysts (NCs) are rare congenital lesions that belong to the group of notochordodysraphisms. They are known to occur in the posterior mediastinum and abdomen. Occurrence adjacent to the CNS is rare but is predominantly in the cervical and thoracic spinal canal, located intraduraly and extramedullarly. They compose 0.3–0.5% of all spinal tumours [1] and 16% of spinal cysts [2]. In 12–92% of cases, NCs are associated with other dysraphic malformations [3]: spina bifida, diastematomyelia, diplomyelia, dermal sinus, etc [1,4-6]. Puusepp et al. first reported an intraspinal endodermal cyst in 1934, calling it ‘intestinoma’. Since then, nomenclature has varied widely, with the term ‘neurenteric cyst’ being coined by Holcomb and Matson in 1954 [7,8]. NCs have had several names, including enterogenous cyst, enteric cyst, endodermal cyst, gastroenterogenous cyst, gastrocytoma, intestinoma, and archenteric cyst [9].

Intracranial NCs are uncommon and have been the subject of isolated case reports. The majority of these cysts are located in the posterior fossa [10-28] such as the prepontine cistern [29-31], cerebellopontine angle [28,29,32-37] and craniovertebral junction [38-58]. Supratentorial NCs are exceptionally rare, only 26 have been reported [2,28,59-73]. Also, rare exception is neyrenteric cyst in the subarachnoid or intraventricular space of the central nervous system. To our knowledge, at least ten case reports of an intra- fourth ventricular neurenteric cyst have been reported in the literature (Table 1).

Table 1. Summary of reported intra-fourth ventricular neurenteric cyst (-) no exist, (+) exist.

References

Sex

Age

Location

CT

MRI

1. Parkinson et al. (1952) [10]

M

28Y

4th ventricle

+

_

2. Shuangshoti et al. (1966) [11]

M

48Y

4th ventricle

+

_

3. Shuangshoti et al.

M

60Y

4th ventricle

+

_

4. Shuangshoti et al.

M

50Y

4th ventricle

+

_

5. Hoenig et al. (1967) [12]

M

68Y

4th ventricle

+

_

6. Afshar et al. (1981) [15]

M

48Y

4th ventricle

+

_

7. Walls et al. (1986) [18]

F

40Y

Multiple,4th (1) post.cr.fossa(6)

+

_

8.Okabe et al. (1995) [21]

M

53Y

 4th ventricle

+

+

9. Preece et al. (2006) [28]

F

57Y

4th ventricle

_

+

10.Yasuda et al. (2008) [13]c

F

46Y

4th ventricle

+

-

11.Potsi et al. (2009)

F

37Y

4th ventricle

+

+

We report a case of an intra- fourth ventricular neyrenteric cyst and review the literature for imaging characteristics and also the radiology literature is reviewed.

Case report

A 37year-old woman presented with headache and vertigo. Her symptoms had become worse in the last 6 months. Physical and neurologic examinations revealed no abnormalities.

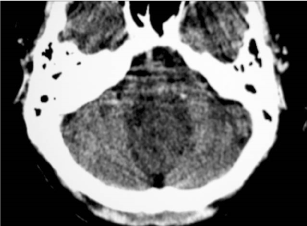
A contrast CT scan demonstrated a large well circumscribed non-enhancing hypodense midline mass lesion in the posterior fossa (Figure 1). The lesion extended from the midline to the adjacent brain parenchyma.

Figure 1. A post-contrast CT scan demonstrate a large non-enhancing hypodense mass in the posterior fossa.

The MRI demonstrated a well-circumscribed lobulated lesion in the posterior fossa with superior displacement of the vermis and fourth ventricle, significant compression of the brain stem was seen as well. On T1-weighted images the cyst was slightly hypointense and on T2-weighted images was homogeneously hyperintense. After contrast administration no enhancement was seen (Figure 2a,b,c).

Figure 2. MRI of neurenteric cyst.

  1. On T1-weighted axial image the cyst is slightly hypointense with fluid-fluid level.
  1. On T2-weighted axial image is homogeneously hyperintense.
  1. On post-contrast T1-weighted coronal image the cyst remains unenhanced.

The cyst was removed after craniotomy. The patient was operated in 3/4 prone position through a midline skin incision from the inion untill the 5th cervical spine. A suboccipital craniectomy was performed that was caudally extended to a laminectomy of the 1st cervical spine. The dura was opend in a “U” shape manner and the content of the cyst was aspirated (Figure 3). Several milliliters of viscous fluid were removed and after the cyst was gradually collapsed, the margins were coagulated and detached from the surrounding tissue using bipolar coagulation and small strippers. Only the cervical portion of the left glossopharyngeal nerve was closely attached to the capsule and was damaged during the excision. Finally, after cutting all the surrounding adhesions, the collapsed cyst was excised en bloc. The patient was transferred in an intensive care unit and woke up the same day without any neurology. Damage to the left glossopharyngeal nerve was incomplete and didn't compromise the patient who had a full and uneventful recovery. The patient was discharged one week later.

Figure 3. Operative view of neurenteric cyst.

The histopathologic examination revealed endodermal cyst composed of pseudostratified, ciliated, columnar to cuboidal, mucin-producing cell poor epithelium (Figure 4).

Figure 4. Histological findings of the biopsy reveal endodermal cyst compose of pseudostratified, ciliated, columnar to cuboidal, mucin-producing cell poor epithelium (H+E, magnification x 10).

Discussion

Neurenteric cysts of the central nervous system have been described in regions from the orbital apex to the sacrum. They are usually found in the spinal canal at the lower cervical and upper thoracic segments. Neurenteric cysts may be intraspinal, extraspinal or both, although most often they are intradural and extramedullary in location.

In contrast, intracranial NCs are extremely rare, with less than 100 cases being. They occur in all age groups. It would seem that actual prevalence of NCs is likely to be independent of gender (Table 2). With rare exceptions, intracranial NCs have not been associated with skeletal anomalies. Exact mechanism of formation of enterogenous cysts is not well known and many hypotheses have been suggested. Neurenteric cysts may occur because of an incomplete separation of the primitive gut from the neural groove, due to the persistence of the Gieberkuhn channel which connects endoderm and ectoderm in the third week of embryonic life.

Table 2. Epidemiological data of intracranial neurenteric cyst (n=93) ND: not described.

The patients may present neurologically with signs of spinal cord compression and meningitis, but the clinical symptoms associated with neurenteric cysts depend on the site of the lesion.

The cysts consist of mucin-producing, nonciliated epithelium that is simple or pseudostratified and either cuboidal or columnar. The cyst can be ciliated, or it can have a mixture of gastrointestinal, pancreatic, and/or squamous epithelium. Some authors described a possible relation to the respiratory tract.

Almost half of intracranial cysts reported in the literature were located within the posterior fossa (47%) [10-21,23-36,45,49,62]. They are typically midline, anterior to the brain stem, or in the cerebellopontine angle [28,29,32,34-36]. Cysts have also been described in the fourth ventricle which are only 10 cases have been reported so far [10-13,15,21,28]. The case presented here bring the total to 11. Other locations include the parasellar/suprasellar region [60,63] septum pellucidum [65], third ventricle [63], orbital apex [59], the optic nerve [58] and extraaxial anterior cranial fossa [71].

They are rare at the craniovertebral junction, with only 28 reported cases [1,22,8,37-44,46-48,50-57]. Supratentorial NCs are rare, and 25% of the cysts in those cases reported to date have been located within the brain parenchyma [2,28,58-73].

The classic NC, according to the literature is an ovoid, lobulated mass in front of the medulla. The majority of them are small in size: less than 2cm.

Forty-nine of the one hundred patients had CT scans. Although CT is superior in demonstrating calcification NCs are extremely rarely calcified with only one case being described [69].

Magnetic resonance imaging is the imaging investigation of choice with 73 of 100 patients having MR images. Most NCs appear ovoid or lobulated and appear sharply demarcated. Signal intensity on MR is variable, depending on cyst contents and reflecting the amount of protein content. The protein content of cystic fluid shortens both T1 and T2 relaxation times. Most are proteinaceous with a T1 signal intensity that is isointense to slightly hyperintense compared with CSF and typically very hyperintense on T2, unless inspissated.

Thirty-four of the seventy-three patients (46,5%) are hyperintense, seventeen (23,2%) are hypointense and twenty (27,3%) are isointense to CSF on T1-weighted imaging. Forty-one of seventy-three patients (56,1%) are hyperintense, thirteen (17,8%) are isointense and eight (10,9%) are hypointense on T2-weighted imaging (Table 3).

Table 3. MRI characteristics of intracranial neyrenteric cyst (n= 73).

Contrast-enhanced scans are available in 54 of 73 cases (73,9%). Typically, no enhancement of the cyst occurs following contrast administration. Rim enhancement is seen in only 15 out of 73 cases at the site where the cyst adhered to the brain [21,28,31,35,47,53-56,65,67].

The differential diagnosis of intracranial NCs include epidermoid cyst, arachnoid cyst, and other endodermal cysts (Rathke and colloid). The rare “white” epidermoid is most similar to the NC in that it is hyperintense on T1 and can be difficult to distinguish if midline. Diffusion weighted imaging is useful to differentiate between endodermal cysts and epidermoids. Epidermoids lesions show moderate to striking diffusion restriction. Arachnoid cysts follow CSF on all sequences. Other endodermal-derived cysts, such as Rathke and colloid, can be differentiated from NCs based on location. A Rathke cleft cyst is sellar or suprasellar, while a neurenteric cyst is usually in the posterior fossa, and a colloid cyst typically is in the region of the foramen of Monro along the anterior superior wall of the third ventricle. Differentials in childdren should probably include juvenile and pilocytic astrocytoma. Also, in patients of all ages should probably include parasitic cysts.

In conclusion we suggested that the neurenteric cyst should also be included in differential diagnosis of the intracranial cystic mass bearing in mind that in rare cases NCs may present rim enhancement and more rarely calcification.

Conflict of interest

No

Presentation at a conference

No

References

  1. Abe K, Oyama K, Mori K, Ishimaru S, Eguchi M, et al. (1999) Neurenteric cyst of the craniocervical junction--case report.Neurol Med Chir (Tokyo)39: 875-880. [Crossref]
  2. Afshar F, Scholtz CL (1981) Enterogenous cyst of the fourth ventricle: case report.J Neurosurg54: 836-838. [Crossref]
  3. Asamoto S, Sugiyama H, Doi H, Hino K, Ida M, et al. (1999) [A case of neuroaxis endodermal cyst].No To Shinkei51: 520-523. [Crossref]
  4. Akalan N, Sqkinb H, Kilic C, Ozgen T (1994) Benign extramedullary tumors in the foramen magnum region. Clin Neurol Neurosurg 96: 284-289. [Crossref]
  5. Bavetta S, El-Shunnar K, Hamlyn PJ (1996) Neurenteric cyst of the anterior cranial fossa.Br J Neurosurg10: 225-227. [Crossref]
  6. Boyar B, Aksoy F, Taskin Y, Kilic C (1991) Enterogenous cyst of the cervicomedullary junction. A case report.J Neurosurg Sci35: 169-172. [Crossref]
  7. Breeze RE, Nichols P, Segal H, Apuzzo ML (1990) Intradural epithelial cyst at the craniovertebral junction. Case report.J Neurosurg73: 788-791. [Crossref]
  8. Büttner A, Winkler PA, Weis S (1997) Endodermal cyst of the third ventricle: case report.Neurosurgery40: 832-835. [Crossref]
  9. Chaynes P, Thorn-Kany M, Sol JC, Arrué P, Lagarrigue J, et al. (1998) Imaging in neurenteric cysts of the posterior cranial fossa.Neuroradiology40: 374-376. [Crossref]
  10. Chavda SV, Davies AM, Cassar-Pullicino VN (1985) Enterogenous cysts of the central nervous system: a report of eight cases.Clin Radiol36: 245-251. [Crossref]
  11. Cheng JS, Cusick JF, Ho KC, Ulmer JL (2002) Lateral supratentorial endodermal cyst: case report and review of literature.Neurosurgery51: 493-499. [Crossref]
  12. Christov C, Chrétien F, Brugieres P, Djindjian M (2004) Giant supratentorial enterogenous cyst: report of a case, literature review, and discussion of pathogenesis. Neurosurgery 54:759-63. [Crossref]
  13. Clare I, Kavar B, Dobie1 P (2006) Neuroenteric cyst of the craniocervical junction. Australasian Radiology 50:59-62
  14. Crockard HA, Sen CN (1991) The transoral approach for the management of intradural lesions at the craniovertebral junction: review of 7 cases.Neurosurgery28: 88-97. [Crossref]
  15. Daszkiewicz P, Roszkowski M, Przasnek S, Grajkowska W, Jurkiewicz E (2006) Teratoma or enterogenous cyst? The histopathological and clinical dilemma in co-existing occult neural tube dysraphism.Folia Neuropathol44: 24-33. [Crossref]
  16. Elmadbouh H, Halpin SF, Neal J, Hatfield RH, Hourihan MD (1999) Posterior fossa epithelial cyst: case report and review of the literature.AJNR Am J Neuroradiol20: 681-685. [Crossref]
  17. Eynon-Lewis NJ1, Kitchen N, Scaravilli F, Brookes GB (1998) Neurenteric cyst of the cerebellopontine angle: case report.Neurosurgery42: 655-658. [Crossref]
  18. Fabinyi GC, Adams JE (1979) High cervical spinal cord compression by an enterogenous cyst. Case report.J Neurosurg51: 556-559. [Crossref]
  19. Fujita T, Kayama T, Saito S, Yamakawa M, Osamu N (1997) Immunohistochemical Detection of Tumor Marker in Recurrent Clivus Enterogenous Cyst. Neurol Med Chir 37:479-482. [Crossref]
  20. Fuse T, Yamada K, Kamiya K, Inagaki H (1998) Neurenteric cyst at the craniovertebral junction: report of two cases.Surg Neurol50: 431-436. [Crossref]
  21. Giombini S, Lodrini S, Migliavacca F (1981) Intracranial enterogenous cyst.Surg Neurol16: 271-273. [Crossref]
  22. Goel A, Muzumdar D, Chagla A (2005) Endodermal cyst anterior and anterolateral to the brainstem: a report of an experience with seven cases.Br J Neurosurg19: 163-166. [Crossref]
  23. 2021 Copyright OAT. All rights reserv
  24. Graziani N, Dufour H, Figarella-Branger D, Donnet A, Bouillot P, et al. (1995) Do the suprasellar neurenteric cyst, the Rathke cleft cyst and the colloid cyst constitute a same entity?Acta Neurochir (Wien)133: 174-180. [Crossref]
  25. Guermazi A, Miaux Y, Majoulet JF, Lafitte F, Chiras J (1998) Imaging findings of central nervous system neuroepithelial cysts. Eur Radiol 8: 618-623. [Crossref]
  26. Gupta SK, Sharma BS, Khosla VK, Mathuria SN, Pathak A, et al. (2000) Far lateral approach for foramen magnum lesions.Neurol Med Chir (Tokyo)40: 48-52. [Crossref]
  27. Harris C, Dias M, Brockmeyer D, Townsend J, Willis B, et al. (1991) Neurenteric cysts of the posterior fossa: recognition management, and embryogenesis. Neurosurgery 29:893-897. [Crossref]
  28. Hasegawa H, Bitoh S, Obashi J, Hiraga S, Higuchi M (1988) [Lateral approach to the anterior foramen magnum tumor: report of two cases].No Shinkei Geka16: 1517-1520. [Crossref]
  29. Hasegawa H, Ushio Y, Oku Y, Iwata Y, Kanai N, et al. (1976) Neuroepithelial Cyst of the cerebellar vermis.Surg Neurol181-184. [Crossref]
  30. Hirai O, Kawamura J, Fukumitsu T (1981) Prepontine epithelium-lined cyst. Case report.J Neurosurg55: 312-317. [Crossref]
  31. Hoenig EM, Ghatak NR, Hirano A, Zimmerman HM (1967) Multiloculated cystic tumor of the choroid plexus of the fourth ventricle. Case report.J Neurosurg27: 574-579. [Crossref]
  32. HOLCOMB GW Jr, MATSON DD (1954) Thoracic neurenteric cyst.Surgery35: 115-121. [Crossref]
  33. Ito S, Fujiwara S, Mizoi K, Namiki T, Yosimoto T (1992) Enterogenous cyst at the cerebellopontine angle: case report.Surg Neurol37: 366-370. [Crossref]
  34. Kachur E, Ang LC, Megyesi JF (2004) Intraparenchymal supratentorial neurenteric cyst.Can J Neurol Sci31: 412-416. [Crossref]
  35. Kapoor V, Johnson DR, Fukui MB, Rothfus WE, Jho HD (2002) Neuroradiologic-pathologic correlation in a neurenteric cyst of the clivus.AJNR Am J Neuroradiol23: 476-479. [Crossref]
  36. Kim CY, Wang KC, Choe G, Kim HJ, Jung HW, et al. (1999) Neurenteric cyst: its various presentations.Childs Nerv Syst15: 333-341. [Crossref]
  37. Kimura H, Nagatomi A, Ochi M, Kurisu K (2006) Intracranial neurenteric cyst with recurrence and extensive craniospinal dissemination. Acta Neurochir (Wien) 148: 347-352. [Crossref]
  38. Kinney W, Kinney S, Perl J, Lee J, Chyatte D, et al. (1997) Rare lesions of the posterior fossa with initial retrocochlear auditory and vestibularcomplaints. Am J Otol 18: 373-380. [Crossref]
  39. Koksel T, Revesz T, Crockard HA (1990) Craniospinal neurenteric cyst.Br J Neurosurg4: 425-428. [Crossref]
  40. Lazareff JA, Hoil Parra JA (1995) Intradural neurenteric cyst at the craniovertebral junction.Childs Nerv Syst11: 536-538. [Crossref]
  41. Lee WY, Tseng HM, Lin MC, Chuang SM (1992) Neurenteric cyst at craniocervical junction: report of a case.J Formos Med Assoc91: 722-724. [Crossref]
  42. Leventer DB, Merriam JC, Defendini R, Behrens MM, Housepian EM, et al. (1994) Enterogenous cyst of the orbital apex and superior orbital fissure.Ophthalmology101: 1614-1621. [Crossref]
  43. Liu J, Couldwell W (2005) Far-lateral transcondylar approach: surgical technique and its application in neurenteric cysts of the cervicomedullary junction. Report of two cases. Neurosurg Focus 2005:19: E9. [Crossref]
  44. Malcolm GP, Symon L, Kendall B, Pires M (1991) Intracranial neurenteric cysts. Report of two cases.J Neurosurg75: 115-120. [Crossref]
  45. Matsunaga S, Fujitsu K, Yagishita S, Ichikawa T, Takemoto Y, et al. (2006) Endodermal cyst ventral to the lower brain stem.Neurol Med Chir (Tokyo)46: 614-618. [Crossref]
  46. Menezes AH, Traynelis VC (2006) Spinal neurenteric cysts in the magnetic resonance imaging era.Neurosurgery58: 97-105. [Crossref]
  47. Mehta VS, Chowdhury C, Bhatia R (1984) Neuroenteric cyst of the cerebellum.Postgrad Med J60: 287-289. [Crossref]
  48. Mishra GP, Sharma RR, Musa MM, Pawar SJ (2000) Endodermal cyst of septum pellucidum and pregnancy: a case report.Surg Neurol53: 583-585. [Crossref]
  49. Miyagi A, Katayama Y (2007) Neurenteric cyst arising in the high convexity parietal lesion: case report.Neurosurgery60: E203-204. [Crossref]
  50. Morgan MA, Enterline DS, Fukushima T, McLendon RE, Cummings TJ (2001) Endodermal cyst of the oculomotor nerve.Neuroradiology43: 1063-1066. [Crossref]
  51. Nakajima M, Miyajima M, Hishii M, Arai H, Sato K, et al. (2001) Endodermal cyst of the quadrigeminal cistern: case report.Surg Neurol56: 385-388. [Crossref]
  52. Neckrysh S, Valyi-Nagy T, Charbel FT (2006) Neuroenteric cyst of the anterior cranial fossa: case report and review of the literature.Surg Neurol65: 174-177. [Crossref]
  53. Okabe S, Kamata K, Kohno T, Harada Y (1995) Enterogenous cyst in the fourth ventricle--case report.Neurol Med Chir (Tokyo)35: 40-44. [Crossref]
  54. Osborn A, Blaser S, Salzman K (2004) Neurenteric cyst. Diagnostic Imaging: Brain. Amirsys 7: 40-41.
  55. Ouama H, Ikeda A, Inoue S, Nakamura S, Nishimura Y, et al. (2004) Multiple neurenteric cysts in the posterior and cervical spinal canal. Neurol Med Chir(Tokyo) 44:146-149. [Crossref]
  56. Paolini S, Ciappetta P, Domenicucci M, Guiducci A (2003) Intramedullary neurenteric cyst with a false mural nodule: case report.Neurosurgery52: 243-245. [Crossref]
  57. PARKINSON D, CHILDE AE (1952) Colloid cyst of the fourth ventricle; report of a case of two colloid cysts of the fourth ventricle.J Neurosurg9: 404-409. [Crossref]
  58. Preece MT, Osborn AG, Chin SS, Smirniotopoulos JG (2006) Intracranial neurenteric cysts: imaging and pathology spectrum.AJNR Am J Neuroradiol27: 1211-1216. [Crossref]
  59. Puusepp M (1934) Variete rare de teratome sous-dural de la region cervicale (intestinome). Quadriplegie. Extripation. Guerison complete. Rev Neurol 2: 879-886.
  60. Puca A, Cioni B, Colosimo C, Fadda G, Meglio M, et al. (1992) Spinal neurenteric cyst in association with syringomyelia: case report.Surg Neurol37: 202-207. [Crossref]
  61. Rivierez M, Duclos H, Piekarski JD, Foncin JF, Cornu P, et al. (1989) [Intramedullary neurenteric cyst without an associated malformation. Case report].Neurochirurgie35: 191-195. [Crossref]
  62. Sampath S, Yasha TC, Shetty S, Chandramouli BA (1999) Parasellar neurenteric cyst: unusual site and histology: case reportNeurosurgery44: 1335-1337. [Crossref]
  63. Scaravilli F, Lidov H, Spalton DJ, Symon L (1992) Neuroenteric cyst of the optic nerve: case report with immunohistochemical study. J Neurol Neurosurg Psychiatry 55: 1197-1199. [Crossref]
  64. Shakudo M, Inoue Y, Ohata K, Tanaka S (2001) Neurenteric cyst with alteration of signal intensity on follow-up MR images.AJNR Am J Neuroradiol22: 496-498. [Crossref]
  65. Shin JH, Byun BJ, Kim DW, Choi DL (2002) Neurenteric cyst in the cerebellopontine angle with xanthogranulomatous changes: serial MR findings with pathologic correlation. AJNR Am J Neuroradiol 23: 663-665. [Crossref]
  66. Shuangshoti S, Netsky MG (1966) Neuroepithelial (colloid) cysts of the nervous system: Further observations on pathogenesis, location, incidence, and histochemistry. Neurology 16: 887-903.
  67. Simon JA, Olan WJ, Santi M (1997) Intracranial neurenteric cysts: a differential diagnosis and review. Radiographics 17: 1587-1593. [Crossref]
  68. Tan GS, Hortobagyi T, Al-Sarraj S, Connor SE (2004) Intracranial laterally based supratentorial neurenteric cyst. Br J Radiol 77:963-965. [Crossref]
  69. Trehan G, Soto-Ares G, Vinchon M, Pruvo JP (2003) [Neurenteric cyst: an unusual congenital malformation of the spinal canal].J Radiol84: 412-414. [Crossref]
  70. Vaishya S, Ramesh T (2006) Case Report: Craniospinal Cysts Spontaneous relapsing and recurring large multiloculated posterior fossa enteric cyst. Acta Neurochir (Wien) 148: 985-988.
  71. Walls TJ, Purohit DP, Aji WS, Schofield IS, Barwick DD (1986) Multiple intracranial enterogenous cysts.J Neurol Neurosurg Psychiatry49: 438-441. [Crossref]
  72. Weiss MA, Gebarski SS, McKeever PE (1996) Foramen magnum neurenteric cyst causing mollaret meningitis: MR findings.AJNR Am J Neuroradiol17: 386-388. [Crossref]
  73. Yasuda M, Nakagawa H, Ozawa H, Inukai C, Watabe T, et al. (2008) Disseminated neurenteric cyst.J Neurosurg Spine9: 382-386. [Crossref]
  74. Yang S, Liu HM (1996) MR imaging of a multiple component craniocervical neuroenteric cyst.Eur J Radiol22: 138-140. [Crossref]

Editorial Information

Editor-in-Chief

Yi-Hwa Liu
Yale University

Article Type

Case Report

Publication history

Received date: June 01, 2018
Accepted date: June 13, 2018
Published date: June 18, 2018

Copyright

©2018 Potsi ST. This is an open-access article distributed under the terms of the Creative Commons Attribution License, which permits unrestricted use, distribution, and reproduction in any medium, provided the original author and source are credited.

Citation

Potsi ST, Arzoglou V, Chourmouzi D, Karkavelas G, Drevelegkas A (2018) Neurenteric cyst of the 4th ventricle. Case report and short review of the literature. Radiol Diagn Imaging 2: DOI: 10.15761/RDI.1000138

Corresponding author

Potsi Stamatia

Asklipiou 10, Pilaia, Thessaloniki, Greece, Tel: +302310400000; Mob: +306977403145; Fax: +302310471056

Table 1. Summary of reported intra-fourth ventricular neurenteric cyst (-) no exist, (+) exist.

References

Sex

Age

Location

CT

MRI

1. Parkinson et al. (1952) [10]

M

28Y

4th ventricle

+

_

2. Shuangshoti et al. (1966) [11]

M

48Y

4th ventricle

+

_

3. Shuangshoti et al.

M

60Y

4th ventricle

+

_

4. Shuangshoti et al.

M

50Y

4th ventricle

+

_

5. Hoenig et al. (1967) [12]

M

68Y

4th ventricle

+

_

6. Afshar et al. (1981) [15]

M

48Y

4th ventricle

+

_

7. Walls et al. (1986) [18]

F

40Y

Multiple,4th (1) post.cr.fossa(6)

+

_

8.Okabe et al. (1995) [21]

M

53Y

 4th ventricle

+

+

9. Preece et al. (2006) [28]

F

57Y

4th ventricle

_

+

10.Yasuda et al. (2008) [13]c

F

46Y

4th ventricle

+

-

11.Potsi et al. (2009)

F

37Y

4th ventricle

+

+

Table 2. Epidemiological data of intracranial neurenteric cyst (n=93) ND: not described.

Table 3. MRI characteristics of intracranial neyrenteric cyst (n= 73).

Figure 1. A post-contrast CT scan demonstrate a large non-enhancing hypodense mass in the posterior fossa.

Figure 2. MRI of neurenteric cyst.

  1. On T1-weighted axial image the cyst is slightly hypointense with fluid-fluid level.
  1. On T2-weighted axial image is homogeneously hyperintense.
  1. On post-contrast T1-weighted coronal image the cyst remains unenhanced.

Figure 3. Operative view of neurenteric cyst.

Figure 4. Histological findings of the biopsy reveal endodermal cyst compose of pseudostratified, ciliated, columnar to cuboidal, mucin-producing cell poor epithelium (H+E, magnification x 10).