Take a look at the Recent articles

Invasive Mammary Paget Disease with no Underlying Breast Carcinoma

Castillo Ortega Raquel

Tecnológico de Monterrey, Hospital San José TecSalud, Pathology Service, Mexico

E-mail : bhuvaneswari.bibleraaj@uhsm.nhs.uk

López Sotomayor Dulce María

Tecnológico de Monterrey, Hospital San José TecSalud, Pathology Service, Mexico

López Altamirano Daniel Fernando

Tecnológico de Monterrey, Hospital San José TecSalud, Pathology Service, Mexico

Amezcua Gálvez Jesús Eduardo

Tecnológico de Monterrey, Hospital San José TecSalud, Pathology Service, Mexico

Antonio Dono

Department of Pathology and Laboratory Medicine, McGovern Medical School, University of Texas Health Science Center at Houston, Houston, Texas, USA

Lopez-Garcia Carlos A

Tecnológico de Monterrey, Hospital San José TecSalud, Pathology Service, Mexico

López de Luna Nancy Gabriela

Tecnológico de Monterrey, Hospital San José TecSalud, Pathology Service, Mexico

Gómez Macías Gabriela Sofía

Tecnológico de Monterrey, Hospital San José TecSalud, Pathology Service, Mexico

Hospital Universitario de la UANL, School of Medicine, Mexico

DOI: 10.15761/CRIS.1000162

Article
Article Info
Author Info
Figures & Data

Abstract

Introduction: Mammary Paget disease (MPD) usually presents as a neoplasm confined to the epithelium with underlying in situ or infiltrating breast carcinoma. Invasive Mammary Paget Disease with no underlying breast carcinoma (InvMPD) is a rare subtype of MPD that manifests as dermatosis on the nipple’s skin. We present a case clinical, radiological, and histopathological characteristics of an InvMPD in a female patient.

Case presentation: A 42-year-old woman with a family history of breast cancer consulted with an erythematous lesion on the nipple’s skin. Imaging studies revealed a circumscribed lesion consistent with fibroadenoma, which was confirmed by histology. Incisional biopsy and nipple excision revealed an InvPMD.

Discussion: MPD is a rare neoplasm that represents 1-3% of all primary breast malignancies. Less frequently, MPD can rarely develop dermal infiltration without underlying carcinoma (invMPD). Five cases of InvMPD have been reported in the literature; therefore, we report the sixth case of InvMPD in a 42-year-old woman.

Conclusion: InvMPD is a rare clinical entity that should be considered in cases with no carcinoma in situ or invasive in breast tissue after an extensive radiological and histologically sampling of the nipple is performed.

Keywords

breast cancer, mammary paget disease, invasive mammary paget disease, dermal infiltration

List of Abbreviations

MPD: Mammary Paget disease; invMPD: invasive Mammary Paget disease; DCIS: ductal carcinoma in-situ; IDC: invasive ductal carcinoma; EMA: epithelial membrane antigen; CK7: cytokeratin 7

Introduction

Mammary Paget disease is a rare intraepithelial carcinoma characterized by erythematous and eczematous lesion with serohematic nipple discharge [1]. Most cases are associated with an underlying carcinoma of the breast [2].

Three types of mammary Paget disease have been described [1]: the classic form, related to the spread through the lactiferous ducts of underlying cancer [2]; the secondary, a rare form derived from invasive carcinoma that spreads directly to the epidermis of the nipple and, [3] the invasive manifestation, a controversial type, as it has been reported to lack a relationship with another breast cancer [4,5]. In the current report, we described a case of invasive mammary Paget disease with no underlying breast carcinoma.

Case Presentation

A 42-year-old female with a family history of breast cancer consulted complaining of skin changes on the right breast erythema and scaling with nipple serohematic discharge (Figure 1). There was no palpable breast masses nor lymphadenopathy. Ultrasound, mammography, and magnetic resonance were performed and a well-circumscribed nodule in the upper external quadrant was found, categorized as BI-RADS 4A (Figure 2). The nodule biopsy demonstrated, a fibroadenoma. Incisional biopsy of the nipple showed cells in the epidermis with abundant clear cytoplasm, big nuclei with granular chromatin, and prominent nucleoli (Figure 3). Immunohistochemistry demonstrated positive epithelial membrane antigen (EMA) and cytokeratin 7 (CK7) with negative p63 and HMB-45. Therefore, the patient was diagnosed with a mammary Paget disease (MPD).

Figure 1. Clinical presentation. Erosion, redness, and scaling crust in the central portion of the right nipple noted in the patient

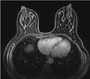
Figure 2. MRI Showed a 7-mm mass in the upper external quadrant of the right breast, which was biopsied and diagnosed as a fibroadenoma

Figure 3. Incisional biopsy. Showed intraepidermal proliferation of large, atypical, pale-staining cells morphologically consistent with Paget’s disease

The patient underwent a mastectomy and sentinel lymph node dissection. Macroscopic examination of the breast identified nipple erythema and an 8 mm well-circumscribed nodule in the upper external quadrant. A detailed histologic examination of the fibrous zones was performed, in which an 8 mm fibroadenoma (previously biopsied specimen) was observed. Also, another 2 mm fibroadenoma was identified. Moreover, a radial scar and moderate ductal hyperplasia were found. The nipple histologic examination confirmed the incisional biopsy findings, an intraepidermal neoplasm characterized by cells with enlarged nuclei with pale cytoplasm arranged in a pagetoid pattern and directly beneath it, there was invasive cancer into the dermis which formed little glands and nests (Figure 4). No carcinoma in situ or another focus of infiltrating carcinoma was observed. The invasive neoplasm was categorized as an infiltrating carcinoma, not special type grade 2 with a 3 mm depth invasion. Both estrogen and progesterone receptors were positive in 90% of the cells, Her2/Neu negative (1+), and the Ki67 index was 10%. Surgical margins and the sentinel lymph node were negatives (Figure 5).

Figure 4. Mastectomy, nipple section. A. Acantholytic pattern of Paget disease, B. Direct invasion into the subjacent dermis in forms of glands and nests

Figure 5. Immunohistochemistry profile A. Estrogen receptors positive in 90% of the cells. B. Progesterone receptor-positive in 90% of the cells. C. Her2/Neu was negative (1+). D. Ki-67 was positive in 10% of the cells

Discussion

MPD is a rare clinical entity, representing 1% to 3% of breast tumors [6]. MPD was first reported in 1856, by Velpau, when describing an eczematous lesion on the nipple’s skin [7]. Later in 1874, Sir James Paget established an association between the presence of malignancy in the breast and dermatological changes in the nipple [3,8,9].

Clinically, MPD manifests as a chronic, erythematous, thickened, and eczematous lesion located in the nipple-areola complex. Sometimes dermatosis may be accompanied by serohematic discharge [7], as observed in the presented case.

MPD diagnosis is performed by the correlation of clinical features and histopathological findings of the nipple and areola’s lesion. Histologically, the infiltration of large, round, or oval epithelial malignant cells into the nipple’s skin shows abundant pale cytoplasm, pleomorphism, and a hyperchromatic nucleus with a prominent nucleolus [10]. MPD is a carcinoma-in-situ confined to the nipple’s epidermis. It rarely invades the dermis and is associated with underlying ductal carcinoma in more than 95% of cases, which may be invasive or in-situ [11,12]. However, in recent years, clinical variants of the disease have been reported to invade the dermis or lack an association with ductal carcinoma in-situ (DCIS) or invasive carcinoma. Thus, invasive mammary Paget disease with no underlying breast carcinoma is the rarest manifestation of the disease with scarce reported cases [13].

More than one mechanism by which MPD can arise has been postulated: the majority representing contiguous epidermotropic transport of preexisting DCIS or invasive ductal carcinoma (IDC) via the large lactiferous ducts, and cases with no underlying DCIS or IDC probably arising from a pluripotent cell or epidermal keratinocyte undergoing metaplasia and malignant transformation within the epidermis, and subsequently invading through the basement membrane into the superficial dermis [14-16], as observed in the presented case.

We present a case compatible with invasive MPD in a 46-year-old female patient with a family history of breast cancer, which after exhaustive imaging and tissue sampling examination, was not associated with underlying carcinoma. Invasive Paget's disease with no underlying carcinoma (invMPD) has only been reported in 5 cases in the literature. The first case was reported by Chao et al. [17] in 2003. Table 1 describes the clinicopathological characteristics of the published cases of ivnMPD.

Table 1. Published cases of ivnMPD without an underlying carcinoma

   

Chao 2003

Duan 2012

Hanna 2013

Lee 2014

Castillo 2020

Sex

 

M

F

F

F

F

Age

 

60

52

47

 58

 42

 

Clinical symptoms

Nipple discharge

NS

Yes

No

NS

 Yes

Skin changes

Yes

Yes

No

 Yes

 Yes

Laterality

 

Left

NS

Left

NS

Right

 

 

 

Diagnostic approach

Mammogram

NS

Negative

NS

 NS

 Negative

Chest x-rays

NS

Negative

NS

 NS

 NS

Abdominal CT

NS

Negative

NS

 NS

NS

Liver ultrasound

NS

Negative

NS

 NS

 NS

Magnetic resonance

NS

NP

NS

NS

Negative

 

 

 

 

IHC

CK7

NS

NS

Positive

NS

Negative

S100

Negative

NS

Negative

NS

NP

HMB-45

NS

NS

NS

NS

Negative

EMA

NS

NS

NS

NS

Positive

P63

NS

NS

NS

NS

Negative

AE1

Positive

NS

NS

NS

NP

CEA

Positive

NS

NS

NS

NP

Characteristics of the noninvasive component (cm)

Length

NS

5.3

NS

 1.4

 NS

Ulceration

NS

NS

NS

 NS

 No

 

 

 

 

 

Characteristics of the invasive component

Depth (mm)

NS

0.9

0.35

 1.5

 3

           

Length (mm)

NS

3.7

NS

 1.2

 NS

Grade

NS

3 (Lagios grading System)

NE

 NS

 2 (SBRM/Nottingham)

ER

NS

Positive

Positive

 NS

 Positive in 90%

PR

NS

Positive

Positive

 NS

 Positive in 90%

Her2/neu

NS

Positive

Indeterminate (2+); FISH: noncontributory

 NS

 Negative (1+)

Ki-67

NS

NS

NE

 NS

 Positive in 10%

Lymph node

 

Sentinel, negative

Positive, isolated cells

NA

 NA

 Negative

Treatment

Surgical

Radical mastectomy and sentinel lymph node

Segmentectomy, reexcision and sentinel lymph node

Bilateral prophylactic mastectomy

 Modified radical mastectomy

 Simple mastectomy and sentinel lymph node

 

Radiotherapy

NS

Yes

NS

 No

 No

Hormonal therapy

NS

NS

NS

No

No

Chemotherapy

NS

No

NS

 No

 No

Follow-up (months)

 

NS

25

NS

199 

 5

F: female, M: male, ER: estorgen receptor, PR: progesterone receptor, NS: not specified, NA: not applicable, NP: not performed, IHC: immunohistochemistry.

Conclusion

MPD is usually associated with underlying breast carcinoma. InvMPD is the rarest manifestation of MPD that should be considered in cases with no in-situ or invasive carcinoma after extensive imaging and histological sampling is performed. We emphasize the importance of an accurate diagnosis and recommend close clinical follow-up in this group of patients due to the limited information regarding its clinical and prognosis significance.

Declarations

Conflict of Interest

The authors have nothing to declare.

Ethics Approval and Consent to Participate

Case reports in our institution do not require approval from the Ethics Committee.

Consent for Publication

Case reports in our institution do not require consent for publication.

Competing Interests

The authors have no competing interests to declare.

Funding

No funding was required for this study.

Acknowledgments

We would like to thank Dr. Jaime Tamez for providing us with clinical information about the patient.

References

  1. Sato T, Muto I, Oya T, Sakai T (2017) Invasive Paget’s disease of the male nipple: a case report. J Surg Case Rep 2017: rjx137. [Crossref]
  2. Duan X, Sneige N, Gullett AE, Prieto VG, Resetkova E, et al. (2012) Invasive paget disease of the breast: clinicopathologic study of an underrecognized entity in the breast. Am J Surg Pathol 36: 1353-1358. [Crossref]
  3. Dixon AR, Galea MH, Ellis IO, Elston CW, Blamey RW (1991) Paget’s disease of the nipple. Br J Surg 78: 722-723.
  4. Ozerdem U, Swistel A, Antonio LB, Hoda SA (2014) Invasive Paget disease of the nipple: a brief review of the literature and report of the first case with axillary nodal metastases. Int J Surg Pathol 22: 566-569. [Crossref]
  5. Yim JH, Wick MR, Philpott GW, Norton JA, Doherty GM (1997) Underlying sdpathology in mammary Paget’s disease. Ann Surg Oncol 4: 287-292. [Crossref]
  6. Dubar S, Boukrid M, Bouquet de Joliniere J, Guillou L, Vo QD, et al. (2017) Paget’s Breast Disease: A Case Report and Review of the Literature. Front Surg 4: 51. [Crossref]
  7. Gaurav A, Gupta V, Koul R, Dabas S, Sareen R, et al. (2018) Practical consensus recommendations for Paget's disease in breast cancer. South Asian J Cancer 7: 83‐86. [Crossref]
  8. Seema S, Fentiman IS (2009) Paget’s Disease of the Nipple. Women’s Health 5: 397-402.
  9. Bart JP (1971) On Disease of the Mammary Areola Preceding Cancer of the Mammary Gland. CA: A Cancer Journal for Clinicians 21: 303-304.
  10. Chen CY, Sun LM, Anderson BO (2006) Paget disease of the breast: Changing patterns of incidence, clinical presentation, and treatment in the U.S. Cancer 107: 1448-1458. [Crossref]
  11. Yim JH, Wick MR, Philpott GW, Norton JA, Doherty GM (1997) Underlying pathology in mammary Paget’s disease. Ann Surg Oncol 4: 287-292. [Crossref]
  12. Duan X, Sneige N, Gullett AE, Prieto VG, Resetkova E, et al. (2012) Invasive Paget Disease of the Breast: clinicopathologic study of an underrecognized entity in the breast. Am J Surg Pathol 36: 1353-1358. [Crossref]
  13. Caliskan M, Gatti G, Sosnovskikh I, Rotmensz N, Botteri E, et al. (2008) Paget’s disease of the breast: the experience of the European institute of oncology and review of the literature. Breast Cancer Res Treat 112: 513-521. [Crossref]
  14. Hanna M, Jaffer S, Bleiweiss IJ, Nayak A (2013) Minimally invasive mammary Paget’s disease without an underlying breast carcinoma. Virchows Arch 463: 471-473. [Crossref]
  15. Jang N, Kang S, Bae YK (2018) Mammary Paget's disease without underlying malignancy of the breast. Yeungnam Univ J Med 35: 99‐103. [Crossref]
  16. Cohen C, Guarner J, DeRose PB (1993) Mammary Paget’s disease and associated carcinoma. An immunohistochemical study. Arch Pathol Lab Med 117: 291-294. [Crossref]
  17. Chao C, Edwards MJ, Wolfson S, Sewell C, Edwards D, et al. (2003) Paget’s disease of the male breast: an unusual case of dermal invasion. Breast J 9: 254. [Crossref]

Editorial Information

Editor-in-Chief

Article Type

Case Report

Publication history

Received date: April 06, 2021
Accepted date: April 16, 2021
Published date: April 20, 2021

Copyright

©2021 Raquel CO. This is an open-access article distributed under the terms of the Creative Commons Attribution License, which permits unrestricted use, distribution, and reproduction in any medium, provided the original author and source are credited.

Citation

Raquel CO, María LSD, Fernando LAD, Eduardo AGJ, Dono A, et al. (2021) Invasive Mammary Paget Disease with no Underlying Breast Carcinoma. Case Rep Imag Surg 4: doi: 10.15761/CRIS.1000162

Corresponding author

Gómez Macias Gabriela Sofia

Tecnológico de Monterrey, Hospital San José TecSalud, Pathology Service, Mexico; Hospital Universitario de la UANL, School of Medicine, Mexico.

E-mail : bhuvaneswari.bibleraaj@uhsm.nhs.uk

Figure 1. Clinical presentation. Erosion, redness, and scaling crust in the central portion of the right nipple noted in the patient

Figure 2. MRI Showed a 7-mm mass in the upper external quadrant of the right breast, which was biopsied and diagnosed as a fibroadenoma

Figure 3. Incisional biopsy. Showed intraepidermal proliferation of large, atypical, pale-staining cells morphologically consistent with Paget’s disease

Figure 4. Mastectomy, nipple section. A. Acantholytic pattern of Paget disease, B. Direct invasion into the subjacent dermis in forms of glands and nests

Figure 5. Immunohistochemistry profile A. Estrogen receptors positive in 90% of the cells. B. Progesterone receptor-positive in 90% of the cells. C. Her2/Neu was negative (1+). D. Ki-67 was positive in 10% of the cells

Table 1. Published cases of ivnMPD without an underlying carcinoma

   

Chao 2003

Duan 2012

Hanna 2013

Lee 2014

Castillo 2020

Sex

 

M

F

F

F

F

Age

 

60

52

47

 58

 42

 

Clinical symptoms

Nipple discharge

NS

Yes

No

NS

 Yes

Skin changes

Yes

Yes

No

 Yes

 Yes

Laterality

 

Left

NS

Left

NS

Right

 

 

 

Diagnostic approach

Mammogram

NS

Negative

NS

 NS

 Negative

Chest x-rays

NS

Negative

NS

 NS

 NS

Abdominal CT

NS

Negative

NS

 NS

NS

Liver ultrasound

NS

Negative

NS

 NS

 NS

Magnetic resonance

NS

NP

NS

NS

Negative

 

 

 

 

IHC

CK7

NS

NS

Positive

NS

Negative

S100

Negative

NS

Negative

NS

NP

HMB-45

NS

NS

NS

NS

Negative

EMA

NS

NS

NS

NS

Positive

P63

NS

NS

NS

NS

Negative

AE1

Positive

NS

NS

NS

NP

CEA

Positive

NS

NS

NS

NP

Characteristics of the noninvasive component (cm)

Length

NS

5.3

NS

 1.4

 NS

Ulceration

NS

NS

NS

 NS

 No

 

 

 

 

 

Characteristics of the invasive component

Depth (mm)

NS

0.9

0.35

 1.5

 3

           

Length (mm)

NS

3.7

NS

 1.2

 NS

Grade

NS

3 (Lagios grading System)

NE

 NS

 2 (SBRM/Nottingham)

ER

NS

Positive

Positive

 NS

 Positive in 90%

PR

NS

Positive

Positive

 NS

 Positive in 90%

Her2/neu

NS

Positive

Indeterminate (2+); FISH: noncontributory

 NS

 Negative (1+)

Ki-67

NS

NS

NE

 NS

 Positive in 10%

Lymph node

 

Sentinel, negative

Positive, isolated cells

NA

 NA

 Negative

Treatment

Surgical

Radical mastectomy and sentinel lymph node

Segmentectomy, reexcision and sentinel lymph node

Bilateral prophylactic mastectomy

 Modified radical mastectomy

 Simple mastectomy and sentinel lymph node

 

Radiotherapy

NS

Yes

NS

 No

 No

Hormonal therapy

NS

NS

NS

No

No

Chemotherapy

NS

No

NS

 No

 No

Follow-up (months)

 

NS

25

NS

199 

 5

F: female, M: male, ER: estorgen receptor, PR: progesterone receptor, NS: not specified, NA: not applicable, NP: not performed, IHC: immunohistochemistry.