Abstract
                A 53-year-old man with AS of bioprosthetic valve presented with persistent fever, and cough was found to be in septic shock.EKG demonstrated a new conduction delay.TEE revealed dilated ascending aorta, aortic root abscess, AV stenosis, leaflet thickening, regurgitation through perforated non-coronary cusp.Blood cultures grew G. morbillorum.
                Keywords
                Aortic Valve, Aortic Stenosis, Electrocardiogram, Trans-Esophageal Echocardiogram, Tricuspid Valve, Infective Endocarditis
           
                History of presentation 
                A 53-year-old male with AV stenosis due to bicuspid valve status post bioprosthetic valve replacement 10 years prior presented with insidious onset of fever myalgias and dry cough 2 months prior to presentation.He was initially treated with a course of doxycycline for suspected Lyme disease without improvement.He was then treated with a 15-day course of prednisone which improved fever and myalgias, but the cough persisted.Upon completion of the steroid course, the patient's symptoms returned.He was referred to the emergency department after outpatient blood cultures resulted positive.On presentation, the patient was hypotensive, and febrile with splinter hemorrhages on bilateral fingernails.He was in septic shock and required vasopressors.
                Past medical history
                The patient has a history of bicuspid aortic valve with bioprosthetic aortic valve replacement 10 years prior.
                Differential diagnosis
                The constellation of subacute, vague signs and symptoms including fever, positive blood cultures, and findings of splinter hemorrhages in a patient with a bioprosthetic aortic valve resulted in a high index of suspicion for infective endocarditis.
                Other differential diagnoses included tick-borne illness given his recent history of positive Lyme antibody test and nonspecific symptoms.Other considerations, although with lower suspicion included autoimmune fever. 
                Investigations
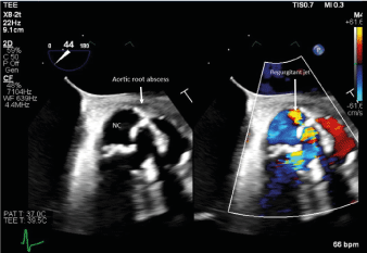
                EKG demonstrated a new first-degree atrioventricular block.TEE revealed dilated ascending aorta at 4.3 cm (3.8 cm 1 month prior), aortic root abscess, prosthetic valve stenosis with a mean transvalvular gradient of 53 mmHg, leaflet thickening, and regurgitation through a perforated non-coronary cusp. (Figure 1) Blood cultures drawn 3 days before admission grew G. morbillorum.
                 
                Figure 1.TEE long axis demonstrating Trifecta 25 Bioprosthetic valve endocarditis (2D).Regurgitant jet through perforated non-coronary cusp (NC)
                Management
                Ceftriaxone was initiated according to sensitivity testing.Due to the TEE findings, the patient underwent radical surgical debridement of abscess cavity with reconstruction of the aortic root and annulus. (Figure 2) The bioprosthetic valve was found dehisced and was replaced with a bovine pericardial conduit. The patient recovered and was discharged with 6 weeks of intravenous ceftriaxone therapy.
                 
                Figure 2.Intraoperative image demonstrating aortic valve annulus with abscess cavity from 6-10 o’clock
                Discussion
                Gemellamorbillorumis a slow-growing gram-positive coccus, catalase-negative facultative anaerobe, found in human flora in the oropharynx, gastrointestinal and genitourinary tracts.Frequent associations between Gemella species and colon cancer have been made in the literature[1,2]. It is a rare culprit organism of endocarditis and even more rare in non-native valves.A case series performed at Cleveland Clinic analyzed the IE registry at their institution from 2007-2018 to identify all cases of IE caused by G. Morbillorum[3]. Among this sample size, <1% of cases were caused by G. Morbillorum.Of the 13 cases identified, 8 patients had infected native valves and 5 had an infection of prosthetic valves[3]. This data displays the unique nature of G. Morbillorum endocarditis of a bioprosthetic valve.Although the incidence is rare, fortunately, identification and management remain standard.Most cases that we have reviewed in the literature were reportedly responsive to third generation cephalosporins like ceftriaxone.
                It is noteworthy that advanced identification methods have prevailed as the gold standard method of identifying G. Morbillorum isolates in any case of suspected bacteremia. In a case series from Cleveland Clinic, of the G. Morbillorum cases identified, 69% had positive blood cultures but 31% were identified solely based on post-surgical valve 16srRNA valve PCR sequencing[4]. None of the patients studied had positive valve cultures[4]. Although current standard antibiotic treatment seems to suffice in controlling G. morbillorum infections, developing antibiotic resistance becomes a concern, as more cases are reported. This pathogen holds significant virulence capability therefore early and accurate identification and sensitivity testing have never been more important.
                Follow-up: The patient completed a 6-week course of ceftriaxone therapy.He reported symptom resolution and continued to follow-up with gastroenterology, infectious disease as well as medical and surgical cardiology specialists.A CT virtual colonoscopy was done to investigate a possible gastrointestinal source of G. morbillorum endocarditis and did not identify a significant mass or polyp.Unfortunately, an abnormal surveillance TEE prompted a CT angiogram of the heart which identified an aneurysm of the sinus of valsalva, dehiscence of the aortic valve replacement posteriorly along the annulus, and formation of a large pseudoaneurysm extending along the ascending aorta and the pericardial recesses. A valve revision operation is currently being arranged. 
                Conclusion
                G. morbillorum, although very rare, can cause fulminant endocarditis and septic shock.Fortunately, clinical signs and symptoms, utilization of major and minor Duke’s criteria for suspicion, and management is largely identical to infective endocarditis caused by standard pathogens.Patients should still be promptly followed by infectious disease and medical as well as surgical cardiology teams to tailor best care practices.Blood culture and sensitivities should guide pharmacologic therapy and prompt surgical intervention when indicated which can be of paramount importance to good patient outcomes and survival.
                Learning objectives
                To understand the clinical course and severity of illness of a rare cause of infective endocarditis.
                Negative valve cultures not precluding G. Morbillorum as etiologic species of valve endocarditis.
                To identify the gold standard method of identifying G. Morbillorum infection.
                Funding support and author disclosure
                The authors have reported that they have no relationships relevant to the contents of this paper to disclose.
                References
                
                  - FitzGerald SF, Moloney AC, Maurer BJ, Hall WW (2006)Gemella endocarditis: consider the colon. J Heart Valve Dis 15:833-835. [Crossref]
- Reyes R, Abay A, Siegel M (2001)Gemellamorbillorumbacteremia associated with adenocarcinoma of the cecum.Am J Med 111: 164-165. [Crossref]
- Ramanathan A, Gordon SM, Shrestha NK (2020) A case series of patients with Gemella endocarditis. Diagn Microbiol Infect Dis 97:115009.[Crossref]
- Woo PC, Lau SK, Fung AM, Chiu SK, Yung RW, et al. (2003)Gemella bacteraemia characterised by 16S ribosomal RNA gene sequencing. J Clin Pathol 56:690-693. [Crossref]