Take a look at the Recent articles

Diagnostic challenge: Innovative approach in use of MRI in aortic aneurysm

Wladimir Yu. Ussov

Tomsk National Medical Research Center, Russian Academy of Sciences, Kievskaya str., 111- A, Tomsk, 634012, Russian Federation

E-mail : bhuvaneswari.bibleraaj@uhsm.nhs.uk

Tatyana A. Bergen

E. Meshalkin National Medical Research Center, Ministry of Health of the Russian Federation, 15, Rechkunovskaya str., Novosibirsk, 630055, Russian Federation

Evgeniy Eu. Kliver

E. Meshalkin National Medical Research Center, Ministry of Health of the Russian Federation, 15, Rechkunovskaya str., Novosibirsk, 630055, Russian Federation

Dmitriy A. Sirota

E. Meshalkin National Medical Research Center, Ministry of Health of the Russian Federation, 15, Rechkunovskaya str., Novosibirsk, 630055, Russian Federation

Evgeniya E. Bobrikova

E. Meshalkin National Medical Research Center, Ministry of Health of the Russian Federation, 15, Rechkunovskaya str., Novosibirsk, 630055, Russian Federation

Evgeniy Kobelev

E. Meshalkin National Medical Research Center, Ministry of Health of the Russian Federation, 15, Rechkunovskaya str., Novosibirsk, 630055, Russian Federation

Alexander A. Shestov

Department of Radiology, Perelman School of Medicine, University of Pennsylvania, Philadelphia, PA, 19104, USA

Aleksandr M. Chernyavskiy

E. Meshalkin National Medical Research Center, Ministry of Health of the Russian Federation, 15, Rechkunovskaya str., Novosibirsk, 630055, Russian Federation

DOI: 10.15761/CRIS.1000160

Article
Article Info
Author Info
Figures & Data

Abstract

Here we report a case of technological innovation: using MRI to determine surgical strategy. Here is a 47-year-old man who underwent MRI diagnostic and subsequent surgical treatment of the aortic aneurysm. MRI made it possible to determine the distal resection edge. The patient`s postoperative course was unremarkable.

Keywords

MRI, magnetic resonance imaging, thoracic aneurism, aortic wall

Introduction

Patients with a thoracic aneurysm should be evaluated for prompt surgical intervention unless life expectancy from comorbid conditions is limited or quality of life is substantially impaired. According to the most recent guidelines, the examination includes computed tomographic imaging or magnetic resonance imaging for diameter measurements. Here we report a new and unique MRI application to use in patients with a thoracic aneurism, which affects surgical strategy choice.

Materials and Methods

Here is a 47-year-old man who underwent MRI diagnostic and subsequent surgical treatment of an aortic aneurysm. It is known from the anamnesis that he has no aggravating factors or chronic disease.

Results and Discussion

Aneurysms of the ascending aorta are always a challenge for physicians [1,2]. In the examination, echocardiography revealed dilatation of the ascending aorta up to 5.5 cm without aortic regurgitation.

The patient underwent ECG- synchronized MRI examination of the aorta and heart. The study was performed on MRI 1.5T with a specialized cardiac coil [3].

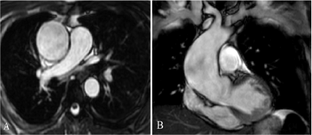
We used T2, T1 weighted scans without and then with T1 weighted scan contrast enhancement. During MRI, we performed contrast enhancement angiography (Figure 1). The maximum diameter of the ascending aorta was 5.4 cm, the distance between proximal and caudal aneurismal edge was 9 cm. The diameter of the aorta before the orifice of the brachiocephalic trunk was up to 3.4 cm, between the orifices of the left common carotid and subclavian arteries - up to 2.4 cm, in the descending part - up to 2.3 cm. The distance from the edge of the brachiocephalic trunk to the cranial aneurismal edge was 5.5cm.

Figure 1. Steady-state free-precession (SSFP) imaging oriented axially (A) and in the coronal plane (B)

As part of the study, we performed sequences for aortic wall examination.

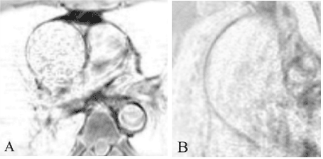
To assess the aortic wall's elasticity and contractility, we used a native steady-state free-precession (SSFP) scan mode in the axial and coronary planes (Figure 2).

Figure 2. T1-SE (A) axially (in the middle third of the aortic aneurysm) and T1-SPIR-black blood (B) in the oblique plane. Thinned aortic wall, more defined in the central part

In the cine-SSFP view, we were able to clearly visualize the aortic wall's movement during the cardio cycle and blood flow direction. The QFlow sequence can be used to quantify the pulse wave velocity in an aneurysm or if aortic valve function is required. To examine the ascending aorta wall's thickness and vascularization, T1-SE-GRE in the axial plane, T1- fat-selective radiofrequency pulse and spoiler-black-blood (Figure 3), and T2- fat-selective radiofrequency pulse and spoiler-black-blood in the axial and oblique planes were performed.

Figure 3. MR-contrast enhancement angiography, arterial phase, breath-hold, oblique plane, 3D reconstruction of the aorta

According to the MRI conclusion, the patient has an enlarged ascending aorta from the root for up to 9 cm, with a maximum diameter of up to 5.5 cm. The patient needs surgery [4,5]. The wall in the aneurysm is evenly thinned, more defined in the middle part, the pulsation is reduced, with signs of dyskinesia, from the edge of the aneurysm to the orifice of the brachiocephalic trunk – the aortic wall is intact (Figure 4) within no more than 3 cm, the aortic diameter at this level is no more than 3.5 cm. Additionally, the patient has a bicuspid aortic valve. Dissection, thickening, and hypervascularization of the thoracic aorta wall and the proximal parts of its main branches were not revealed. The orifice of the main branches was typical anatomy.

Figure 4. T1-SPIR-BB imaging, axial plane (A) immediately after distal aneurysm edge of ascending aorta; oblique plane (B) before orifice of the brachiocephalic trunk. The intact thickness of the aortic wall (arrows)

Initially, during the existing strategy, it was planned to apply a clamp directly in front of the brachiocephalic trunk's orifice, but, taking into account the MRI data, the surgical approach was adjusted. Considering the spread of the lesion of the aortic wall to the arcus distal to the aneurysm, it was decided to perform the intervention under conditions of circulatory arrest and antegrade unilateral cerebral perfusion. It is important that in case of resection and the pathology altered aortic wall, complications can be expected in the early and the late postoperative period. In this case, the patient underwent supracoronary prosthesis of the ascending part and the aortic arch with the formation of a distal anastomosis of the "half-arc" type.

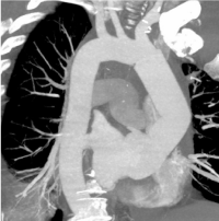
After surgical treatment, a CT angiographic of the thoracic aorta was performed (Figure 5). On postoperative scans, the diameter of the contrasting lumen of the aorta was not expanded. There were no endolics.

Figure 5. CT angiography of the thoracic aorta after surgical treatment

When comparing the MRI data with the histological examination results of intraoperative biopsy (resected aortic wall), the correspondence of the revealed changes in the aortic wall was noted. Macroscopically, the resected aorta's wall thickness was found in distal and proximal edge 2.0-3.0 mm, in the middle part (including part of the distal aneurismal edge) 1.0-1.5 mm.

Microscopically, in sections from the proximal and distal parts of the aortic aneurysm and 2 cm from the distal resection edge: widespread destruction in the middle layer, mucoid swelling of elastic fibres, smoothing of the folds of elastic membranes were found. In some areas, closer to the adventitia, there are moderate scattered perivascular lymphoid infiltrations, part of the aortic wall's vessels with obliteration of the lumens. Under the intima, there are focal accumulations of macrophages with foamy cytoplasm not protruding above the surface. (Figures 6,7,8).

Figure 6 (A, B). Proximal part of aneurism. Destruction, mucoid swelling elastic fibers, smoothing folds of elastic membranes. Scattered perivascular lymphoid infiltrates. Magnification x160. Hematoxylin-eosin stain

Figure 7. Medium part of aneurism. Destruction, mucoid swelling elastic fibers, smoothing folds of elastic membranes. Scattered perivascular lymphoid infiltrates. Magnification x160. Hematoxylin-eosin stain

Figure 8. The distal part of the resected aortic wall. Destruction, mucoid swelling elastic fibers, smoothing folds of elastic membranes. Magnification x 160. Hematoxylin-eosin stain

Histopathological diagnosis: nonspecific secondary vasculitis of low activity, degradation of the aorta's elastic membranes' middle layer. Aneurysm of the ascending aorta. Atherosclerosis of the aorta, stage of lipid spots.

Conclusion

Unlike CT, MRI enables examining the structure and mechanical properties of an aortal wall and measurement of the diameter. In this case, an aortic wall's MRI examination made it possible to choose the optimal surgical approach.

Conflicts of interest

We have no conflict of interest to declare.

Funding

The authors received no specific funding for this work.

References

  1. Erbel R, Aboyans V, Boileau C, Bossone E, Di Bartolomeo R, et al. (2014) 2014 ESC Guidelines on the diagnosis and treatment of aortic diseases: Document covering acute and chronic aortic diseases of the thoracic and abdominal aorta of the adult. The Task Force for the Diagnosis and Treatment of Aortic Diseases of the European Society of Cardiology (ESC). Eur Heart J 35: 2873-2926. [Crossref]
  2. Hiratzka LF, Bakris GL, Beckman JA, Bersin RM, Carr VF, et al. (2010) Guidelines for the diagnosis and management of patients with thoracic aortic disease. A report of the American College of Cardiology Foundation/American Heart Association Task Force on Practice Guidelines, American Association for Thoracic Surgery, American College of Radiology, American Stroke Association, Society of Cardiovascular Anesthesiologists, Society for Cardiovascular Angiography and Interventions, Society of Interventional Radiology, Society of Thoracic Surgeons, and Society for Vascular Medicine. Circulation 121: e266-e369. [Crossref]
  3. Galizia MS, Bolen MA, Flamm S (2015) MRI of the thoracic aorta. Appl Radiol 44: 22-26.
  4. Puyvelde V, Verbeken J, Verbrugghe P, Herijgers P, Meuris B (2016) Aortic wall thickness in patients with ascending aortic aneurysm versus acute aortic dissection. Eur J Cardiothorac Surg 49: 756-762. [Crossref]
  5. Saliba E, Sia Y (2015) The ascending aortic aneurysm: When to intervene? Int J Cardiol Heart Vasc 6: 91-100. [Crossref]

Editorial Information

Editor-in-Chief

Article Type

Case Report

Publication history

Received date: April 01, 2021
Accepted date: April 08, 2021
Published date: April 12, 2021

Copyright

©2021 Ussov WY. This is an open-access article distributed under the terms of the Creative Commons Attribution License, which permits unrestricted use, distribution, and reproduction in any medium, provided the original author and source are credited.

Citation

Ussov WY, Bergen TA, Kliver EE, Sirota DA, Bobrikova EE, et al. (2021) Diagnostic challenge: Innovative approach in use of MRI in aortic aneurysm. Case Rep Imag Surg 4: doi: 10.15761/CRIS.1000160

Corresponding author

Tatyana A. Bergen

E. Meshalkin National Medical Research Center, Ministry of Health of the Russian Federation, 15, Rechkunovskaya str., Novosibirsk, 630055, Russian Federation.

E-mail : bhuvaneswari.bibleraaj@uhsm.nhs.uk

Figure 1. Steady-state free-precession (SSFP) imaging oriented axially (A) and in the coronal plane (B)

Figure 2. T1-SE (A) axially (in the middle third of the aortic aneurysm) and T1-SPIR-black blood (B) in the oblique plane. Thinned aortic wall, more defined in the central part

Figure 3. MR-contrast enhancement angiography, arterial phase, breath-hold, oblique plane, 3D reconstruction of the aorta

Figure 4. T1-SPIR-BB imaging, axial plane (A) immediately after distal aneurysm edge of ascending aorta; oblique plane (B) before orifice of the brachiocephalic trunk. The intact thickness of the aortic wall (arrows)

Figure 5. CT angiography of the thoracic aorta after surgical treatment

Figure 6 (A, B). Proximal part of aneurism. Destruction, mucoid swelling elastic fibers, smoothing folds of elastic membranes. Scattered perivascular lymphoid infiltrates. Magnification x160. Hematoxylin-eosin stain

Figure 7. Medium part of aneurism. Destruction, mucoid swelling elastic fibers, smoothing folds of elastic membranes. Scattered perivascular lymphoid infiltrates. Magnification x160. Hematoxylin-eosin stain

Figure 8. The distal part of the resected aortic wall. Destruction, mucoid swelling elastic fibers, smoothing folds of elastic membranes. Magnification x 160. Hematoxylin-eosin stain