Take a look at the Recent articles

CBCT images of treatment of incisor rotation, canine transposition, lateral incisor orizzontal position and risk of canines impacted, as result of facial trauma in growing patient

Macrì M

Via Gabriele Veneziale 31, Isernia 86170, Italy

E-mail : aa

Di Pilla Emanuela

Via Gabriele Veneziale 31, Isernia 86170, Italy

Scarano A

Via Gabriele Veneziale 31, Isernia 86170, Italy

Festa F

Via Gabriele Veneziale 31, Isernia 86170, Italy

DOI:10.15761/OHC.1000157

Article
Article Info
Author Info
Figures & Data

Facial trauma in growing patient may cause excessive development of bone or can limit it because of scar tissue, mostly in growing centers such as condyle or alveolar bone. Earlier the trauma is, the more the injury is and it is hard to recognise functional and occlusal changes during growing period. Alveolar bone in children deforms after trauma but doesn’t fracture [1].

If tooth follicle is injured, permanent tooth can be displaced, and it will be a problem its extrusion. Tooth follicle guides tooth extrusion [2].

In 2013, in the orthodontic department of G. D’Annunzio University in Chieti (ITALY), an eleven years old girl refers to have hurt the left part of the superior jaw, falling off bike, when she was five years old. She has noticed that in her mouth there is something strange.

Diagnosis and Treatment

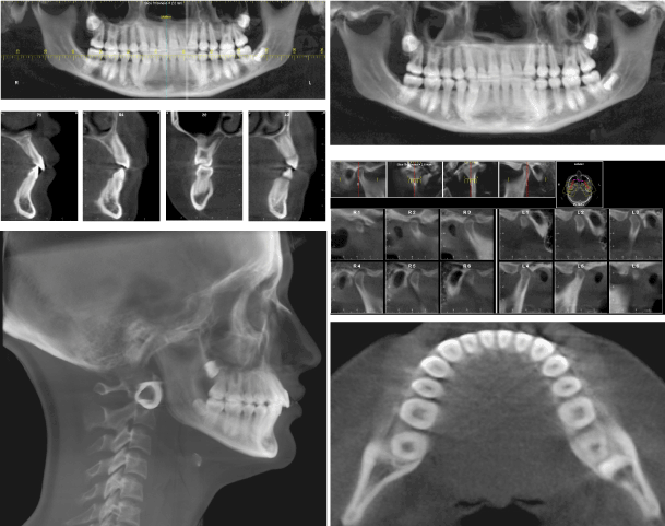
Initial CBCT images (Figure 1)

OPT (Figure 1): all permanent teeth are present but their eruption is delayed – there are some decayed teeth and some deciduous roots fragments – the tooth 3.5 is already erupted (other inferior bicupids and canines are not erupted) – the upper right bicuspids are erupted ( the left ones are not erupted yet) – the tooth 1.3 risks to be impacted, due to its inclination and mesial position – the tooth 2.1 is 90° rotated along its axis – the tooth 2.3 is transposed on the root of the tooth 2.2, which is horizzontally laying near bicuspid roots (Figure 2).

Figure 1. INITIAL OPT

Figure 2. CROSS SECTIONS SHOW 2.1 ROTATED, 2.3 TRANSPOSED ON 2.2 LAYING

Tele RX: Figure 3 and Table 1

Table 1. Initial chefalometric analysis

GoGn- SN

37°

32 ± 5

ANG. INTERI

127°

132 ± 6

FMA

26°

22-28 M

ANG. SELLA

130°

122 ± 5

MM

25°

28 ± 6

ANG.ARTICO

135°

143 ± 6

SNA

81°

82 ± 2

ANG. GONIA

SUP

INF

131°

56°

75°

120 ± 5

50 ± 2

70 ± 3

SNB

75°

80 ± 2

+1 A Pog

-1 A Pog

6mm

1mm

3,5 ± 2

2 ± 2

ANB

2 ± 2

WITTTS RIC

WITTS REAL

6mm

0 ± 2

+I Sna-Snp

+I PFH

+I SN

111°

112°

100°

113 ± 2 B

113 ± 1 B

103 ± 2

A –MC NAM

Pog-MC NA

3mm

-4mm

 

IMPA

96°

90-96 B

     

Figure 3. LATERAL CRANIUM RX

Normal facial height – second class skeletal pattern due to retrusive mandible – upper and lower incisors proclined – forward mandibular growing direction, changes toward clockwise rotation, due to upper and lower incisors contact – 3mm overjet - 2mm overbite.

Frontal RX: Inclined occlusal plane – mandibular right deviation (Figure 4)

Figure 4. FRONTAL RX

Palatal suture: Open suture (Figure 5)

Figure 5. PALATAL SUTURE

Temporo mandibular joint: Retropositioned, curved and flattened condyles (Figure 6)

Figure 6. TMJ CROSS SECTIONS

Extraoral photos: (Figure 7)

Figure 7. EXTRAORAL PHOTOS

Intraoral photos: Dental upper midline toward left – lower dental midline toward right (during opening mouth it is steel deflected) – inclined occlusal plane – narrow upper dental arch (Figure 8)

Figure 8. INTRAORAL PHOTOS

AFTER TWO MONTHS: Dental occlusion has been increased to let tooth 2.1 to extrude and so a bracket can be put on it (Figure 9)

Figure 9. AFTER TWO MONTHS

In the upper arch there is a rapid palatal expander with right buccal extension to stop the tooth 1.1, while rotating the tooth 2.1 (Figure 10)

Figure 10. TOOTH 2.1 ROTATION

The rapid palatal expander has been modified to pull down upper canines (Figure 11)

Figure 11. MODIFIED RAPID PALATAL EXPANDER

In 2015 brackets DAMON Q have been positioned in the upper arch, except on the tooth 2.2 and the tooth 2.3 has been exposed to put on it a botton (Figure 12)

Figure 12. BRACKET DAMON Q

A JIG, made of rectangular stainless-steel wire, has been used to increase space for the tooth 2.3

Then the space has been managed using a coil between teeth 2.1 and 2.6 (Figure 13). The tooth 2.2 has been managed using an overlay wire (the bracket on the tooth 2.2 has been tipped to upright the root toward the midline and the bracket has been placed upside-down to let the root correct its torque when a rectangular wire is placed in the slot) (figure 13 last one)

Figure 13. JIG AND COIL FOR SPACE

Then the tooth 2.3 has been managed using an overlay wire too and a lace back (Figure 14)

Figure 14. OVERLAY WIRE

Intercuspidation elastics with a direction to correct the second class, have been positioned for almost a month (Figure 15)

Figure 15. INTERCUSPIDATION ELASTICS

After a year, photos in static and dinamic position, extraoral photos and CBCT images (Figures 16-19) and Table 2

Table 2. Final chefalometric analysis

GoGn- SN

31°

32 ± 5

ANG. INTERI

124°

132 ± 6

FMA

24°

22-28 M

ANG. SELLA

130°

122 ± 5

MM

21°

28 ± 6

ANG.ARTICO

130°

143 ± 6

SNA

83°

82 ± 2

ANG. GONIA

SUP

INF

132°

56°

76°

120 ± 5

50 ± 2

70 ± 3

SNB

79°

80 ± 2

+1 A Pog

-1 A Pog

4mm

1mm

3,5 ± 2

2 ± 2

ANB

2 ± 2

WITTTS RIC

WITTS REAL

1mm

0 ± 2

+I Sna-Snp

+I PFH

+I SN

121°

 

119°

110°

113 ± 2 B

 

113 ± 1 B

103 ± 2

OB

OJ

3mm

2mm

 

IMPA

95°

90-96 B

     

Figure 16. INTRAORAL FINAL PHOTOS

Figure 17. EXTRAORAL FINAL PHOTOS

Figure 18. FINAL CBCT IMAGES

Figure 19. SUPERIMPOSITION (Na-Ba at CC) and PROFILE

Discussion

-Mandibular movements 2021 Copyright OAT. All rights reserv>

-Good face profile and teeth exposure during smile

-Good position of root between cortical alveolar bone (see cross sections)

-The root and palatal face of crown of tooth 2.2, are not regular

-Initial and final cefalometric values are not chenged so much. The mandible has moved forward and upper incisors inclination is increased

-Each condyle is placed in the center of its fossa

-Dental arch has a regular and wide form

-Wisdom teeth should be extracted

References

  1. Borgis KJ, Halsband H (1992) Three-dimensional evaluation of computerized tomography images of pediatric fractures. Langenbecks Arch Chir Suppl Kongressbd 1992: 390-395. [Crossref]
  2. Proffit WR, Frazier-Bowers SA (2009) Mechanism and control of tooth eruption: overview and clinical implications. Orthod Craniofac Res 12: 59-66. [Crossref]

Editorial Information

Editor-in-Chief

Terai Masanori
Tokyo Ariake University of Medical and Health Sciences

Article Type

Case Report

Publication history

Received: January 16, 2019
Accepted: January 23, 2019
Published: January 25, 2019

Copyright

©2019 Macrì M, Di Pilla Emanuela, Scarano A, Festa F. This is an open-access article distributed under the terms of the Creative Commons Attribution License, which permits unrestricted use, distribution, and reproduction in any medium, provided the original author and source are credited.

Citation

Macrì M (2019) CBCT images of treatment of incisor rotation, canine transposition, lateral incisor orizzontal position and risk of canines impacted, as result of facial trauma in growing patient. Oral Health Care 4: DOI: 10.15761/OHC.1000157.

Corresponding author

Name

Table 1. Initial chefalometric analysis

GoGn- SN

37°

32 ± 5

ANG. INTERI

127°

132 ± 6

FMA

26°

22-28 M

ANG. SELLA

130°

122 ± 5

MM

25°

28 ± 6

ANG.ARTICO

135°

143 ± 6

SNA

81°

82 ± 2

ANG. GONIA

SUP

INF

131°

56°

75°

120 ± 5

50 ± 2

70 ± 3

SNB

75°

80 ± 2

+1 A Pog

-1 A Pog

6mm

1mm

3,5 ± 2

2 ± 2

ANB

2 ± 2

WITTTS RIC

WITTS REAL

6mm

0 ± 2

+I Sna-Snp

+I PFH

+I SN

111°

112°

100°

113 ± 2 B

113 ± 1 B

103 ± 2

A –MC NAM

Pog-MC NA

3mm

-4mm

 

IMPA

96°

90-96 B

     

Table 2. Final chefalometric analysis

GoGn- SN

31°

32 ± 5

ANG. INTERI

124°

132 ± 6

FMA

24°

22-28 M

ANG. SELLA

130°

122 ± 5

MM

21°

28 ± 6

ANG.ARTICO

130°

143 ± 6

SNA

83°

82 ± 2

ANG. GONIA

SUP

INF

132°

56°

76°

120 ± 5

50 ± 2

70 ± 3

SNB

79°

80 ± 2

+1 A Pog

-1 A Pog

4mm

1mm

3,5 ± 2

2 ± 2

ANB

2 ± 2

WITTTS RIC

WITTS REAL

1mm

0 ± 2

+I Sna-Snp

+I PFH

+I SN

121°

 

119°

110°

113 ± 2 B

 

113 ± 1 B

103 ± 2

OB

OJ

3mm

2mm

 

IMPA

95°

90-96 B

     

Figure 1. INITIAL OPT

Figure 2. CROSS SECTIONS SHOW 2.1 ROTATED, 2.3 TRANSPOSED ON 2.2 LAYING

Figure 3. LATERAL CRANIUM RX

Figure 4. FRONTAL RX

Figure 5. PALATAL SUTURE

Figure 6. TMJ CROSS SECTIONS

Figure 7. EXTRAORAL PHOTOS

Figure 8. INTRAORAL PHOTOS

Figure 9. AFTER TWO MONTHS

Figure 10. TOOTH 2.1 ROTATION

Figure 11. MODIFIED RAPID PALATAL EXPANDER

Figure 12. BRACKET DAMON Q

Figure 13. JIG AND COIL FOR SPACE

Figure 14. OVERLAY WIRE

Figure 15. INTERCUSPIDATION ELASTICS

Figure 16. INTRAORAL FINAL PHOTOS

Figure 17. EXTRAORAL FINAL PHOTOS

Figure 18. FINAL CBCT IMAGES

Figure 19. SUPERIMPOSITION (Na-Ba at CC) and PROFILE