Take a look at the Recent articles

Acute coronary syndrome with cardiogenic shock due to occlusion of right coronary artery in a young physician caring patients with COVID-19 infection: a case report

Khin Phyu Pyar

Department of Medicine, Defence Services Medical Academy, Mingalardon 11021, Myanmar

E-mail : bhuvaneswari.bibleraaj@uhsm.nhs.uk

Aung Si Myo

Department of Medicine, Defence Services Medical Academy, Mingalardon 11021, Myanmar

Soe Win Hlaing

Department of Medicine, Defence Services Medical Academy, Mingalardon 11021, Myanmar

Zar Ni Htet Aung

Department of Medicine, Defence Services Medical Academy, Mingalardon 11021, Myanmar

Nyan Lin Maung

Department of Medicine, Defence Services Medical Academy, Mingalardon 11021, Myanmar

Aung Phyoe Kyaw

Department of Medicine, Defence Services Medical Academy, Mingalardon 11021, Myanmar

Min Lynn Zaw Oo

Department of Medicine, Defence Services Medical Academy, Mingalardon 11021, Myanmar

Kyaw Zaya

Department of Medicine, Defence Services Medical Academy, Mingalardon 11021, Myanmar

Myo Thant Kyaw

Department of Medicine, Defence Services Medical Academy, Mingalardon 11021, Myanmar

Zay Phyo Aung

Department of Medicine, Defence Services Medical Academy, Mingalardon 11021, Myanmar

Chan Aye Aung

Department of Medicine, Defence Services Medical Academy, Mingalardon 11021, Myanmar

DOI: 10.15761/JMT.1000146

Article
Article Info
Author Info
Figures & Data

Case summary

A-36-year-old physician assigned in caring patients with COVID-19 infection had severe chest pain and cardiogenic shock due to acute coronary syndrome. ECG was suggestive of acute inferior myocardial infarction. After getting negative result for COVID- 19, primary percutaneous coronary intervention (PCI) was done. Stent was inserted to the culprit lesion, occluded proximal part of right coronary artery, within 120 minutes. The non-culprit lesion, occluded distal part of left anterior descending artery, was left for staged revascularization. After the procedure, he was symptom free and the blood pressure became normal.

Keywords

acute coronary syndrome, cardiogenic shock, COVID-19, PCI, culprit lesion

Introduction

Acute coronary syndrome is usually caused by occlusion of coronary artery. Timely revascularization is vital to save myocardium. To achieve it, primary percutaneous coronary intervention (PCI) is preferable than fibrinolysis-based strategy. Even emergency coronary artery bypass graft (CABG) is indicated if the patient’s coronary anatomy is not suitable for PCI  (Collet et al., 2020). However, there are variations in treatment guideline for acute coronary syndrome in COVID era. A fibrinolysis-based strategy is preferable than primary PCI in some countries [1,2]. 

There are several issues in management of acute coronary syndrome in COVID era – patient side and health care side. Saving the life of patient is as equally important as protecting the COVID-19 infection to both health care personnel and patient. Protection of both health care personnel and patient from COVID-19 infection is essential. Thus, all patients must be screened for COVID-19 infection prior to procedure and delay in results for COVID-19 infection can lengthen “door to needle time”. For patients who have to receive PCI, the detailed protective measures must be applied to avoid nosocomial infection [2]. There should be a dedicated Cath-lab for suspected COVID-19 cases and it is not easy for developing countries. Therefore, management of acute coronary syndrome in COVID era is not simple as before.

On the other hand, people with chest pain are reluctant to come to hospital as they are afraid of being infected with COVID-19 virus. Thus, a few countries notice a shortfall in number of cases with acute coronary syndrome in 2020 [3]. Reduced number of admissions during this period is likely to have resulted in increased out-of-hospital deaths and long-term complications of myocardial infarction and missed opportunities to offer secondary prevention treatment for patients with coronary heart disease. Regarding the mortality rate, if a patient with acute coronary syndrome has COVID-19 infection, the mortality rate is found to be higher than that of non-COVID [4].

In patient with acute coronary syndrome and cardiogenic shock, NICE guideline (2020) suggests to consider culprit vessel only revascularisation with PCI rather than complete revascularisation during the index procedure for people with acute ST elevation myocardial infarction (STEMI) and multivessel coronary artery disease with cardiogenic shock”. It was also in accordance with the “Culprit Lesion Only PCI versus Multivessel PCI in Cardiogenic Shock (CULPRIT-SHOCK) trial” which suggests that non-culprit lesions should not be routinely treated immediately, and the immediate PCI strategy should be limited to the culprit lesion only. It favoured culprit-lesion-only PCI with possible staged revascularization for non-culprit lesion [5].

Presentation

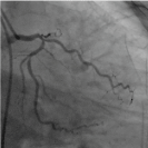
A-36-year-old physician assigned in caring patients with COVID 19 infection had sudden onset of severe left sided chest pain and collapse. He had central cyanosis, cold and clammy extremities. Blood pressure was 60 mmHg palpable and heart rate was 60/min. He was resuscitated with oxygen, fluids and inotropes. ECG revealed ST elevation in inferior leads and ST depression in anterolateral leads (Figure 1.1). Echocardiogram showed akinetic anterior wall and septum (LAD) and stunned inferior wall with overall EF 20%. Both Troponin and CK MB were raised. Nasal swab for Covid-19 rapid test was negative. Within 120 minutes, primary percutaneous coronary angiogram demonstrated total occlusion of proximal part of right coronary artery. It was dilated and stent was inserted successfully. The distal portion of left anterior descending artery was found to be totally occluded. (Figure 2-6) The blood pressure became normal after the procedure. ECG done after procedure revealed dramatic improvement. (Figure 1.2)

Figure 1.1 ECG on arrival

Figure 1.2 ECG after Primary PCI

Figure 2. Complete occlusion of right coronary artery

Figure 3. Complete occlusion of LAD coronary artery (AP caudal view)

Figure 4. Complete occlusion of LAD coronary artery (LAO caudal view)

Figure 5. Right coronary artery after stent (AP view)

Figure 6. Right coronary artery after stent (LAO view)

He developed acute kidney injury as evidenced raised serum creatinine (2mg%) in next 24 hour and the level dropped to normal following fluid therapy. Echocardiogram was repeated 24 hours after procedure and ventricular contraction improved 40%.

According to the size of right coronary artery, dramatic improvement of echocardiographic finding and his symptoms following stenting, we concluded that his right coronary artery is the major supplier – right coronary dominant type.

As we do not have intravascular ultrasound and fine instruments to intrude left anterior descending chronic total occlusion, we decided to maximize medical treatment. As his cholesterol was 240 mg%, we put him on high dose statin in addition to dietary advice.

He was a smoker and now he quits smoking. His life style was more of sedentary previously and he is doing light exercise now. He is on dual anti-platelets, statins and losartan. Echocardiogram done one month after primary PCI showed poor contraction of interventricular septum and left ventricle. He has effort dyspnoea after jogging 300 feet at level ground. Now, he is waiting for staged intervention - the non-culprit lesion.

Discussion

Acute coronary syndrome is one of the medical emergencies and timely revascularization of obstructed artery is crucial. Thus, door to needle time is important not only for coronary intervention but also for thrombolytic therapy.

In COVID-19 pandemic period, few reports mentioned that “delay in timely management leads to increase in mortality and morbidity in acute myocardial infarction” [1]. There were several reasons for delay. Firstly, as the patient with acute coronary syndrome may have fever and he may be kept in ward caring specifically to COVID-19 ward initially. Secondly, the patient may have atypical presentations rather than chest pain like dyspnoea, cough, nausea, vomiting and diarrhoea. And he may be sent to COVID-19 ward rather than cardiac ward. Thirdly, the patient with autonomic neuropathy due to diabetes mellitus and age (elderly) may have silent infarct and diagnosis may be delay. Thus, several reports mentioned delay in diagnosis during COVID pandemic [6]. In this patient, being physician, there is no delay in diagnosis. The presenting symptoms – severe chest pain and cardiogenic shock and ECG give the diagnosis of acute inferior myocardial infarct on arrival to hospital.

Protection of COVID-19 infection to both health care personnel and other non-COVID patients is the main strategy in most of the hospitals in COVID-19 era. Several guidance on reorganization of Cath- lab and measures for protection of healthcare providers involved with invasive procedures are done [7]. Thus, initial screening at the entry point to hospital is utter most important. The period before the availability of COVID-19 rapid test for nasopharyngeal swab was very troublesome for us especially in caring acute cases. Furthermore, it takes 8-24 hours to get the result for PCR for nasopharyngeal swab. Thus, we have to rely on rapid test for nasopharyngeal swab. Although we use test with high sensitivity and specificity, they are not 100% reliable. It is also challenging for treating medical team. In this patient, rapid test for nasopharyngeal swab was negative and we did proceed primary PCI within 2 hours.

All our team members wear second level personnel protective equipment with minimum staffs and they follow all precautions [8]. Chieffo suggests dedicated Cath-lab for patients with acute coronary syndrome in COVID era. Although, we do not have dedicated Cath-lab, we do disinfection and UV radiation after the procedure.

There are some controversies about guideline in management of acute coronary syndrome in COVID-19 era. The guidelines are modified depending on logistics. Some center suggests thrombolytic therapy rather than primary PCI [1,2]. Thus, the practice for revascularization was found to be varied in different countries - rate of primary percutaneous coronary intervention was highest in the USA and lowest in Australia, New Zealand, and Canada explained to promote human and material resources optimization, infection prevention for patients and healthcare workers, and transfer times force prior to invasive management for ischaemic heart disease during the COVID 19 outbreak. This patient is lucky that our hospital has Cath-lab.

In coronary angiogram, the proximal part of right coronary artery was occluded and it was compatible with ECG findings. And distal part of left main stem was totally occluded too– chronic total occlusion. The interventional cardiologist decided to treat the culprit vessels - right coronary artery and it was done successfully during the primary PCI. He left totally occluded left main stem for further intervention. It is in accordance with NICE guideline [9] and “Culprit Lesion Only PCI versus Multivessel PCI in Cardiogenic Shock (CULPRIT-SHOCK) trial”. Regarding complete occlusion of distal left main stem, the interventional cardiologist plan for staged revascularization. The patient was symptom free after the primary PCI and the blood pressure became normal. His serum creatinine fell gradually too. It was compatible with the findings of [5] where they found a significant reduction in all-cause death or renal-replacement therapy at 30-day follow-up in patients who had culprit-lesion-only PCI.

Regarding dominant artery, this patient has possibly right dominant artery as he has presented with acute inferior myocardial infarction [10]. And it is also supported by the fact that he is completely chest pain free prior to the event though his left main stem is totally occluded in coronary angiogram. Thus, his left coronary artery is not likely to be a dominant one. Having right coronary artery dominant in this patient is a potential risk factor for triple-vessel coronary artery disease [11]. This patient recovered very well although his initial presentation was nearly dead. Having lower 30 days mortality in this patient with right dominant lesion was compatible with the finding by Veltman et al. [12] where they found “in patients with left coronary lesion have higher 30 days mortality than those with right coronary lesion”.

Conclusion

We were successful in saving the life of patient as well as protection to health care personnel and patients from COVID-19 infection. Rapid diagnostic test for nasopharyngeal swab for COVID-19 can shorten “door to needle time” in this patient. In COVID-19 pandemic era, treatment of acute coronary syndrome due to ST elevation myocardial infarction (STEMI) with cardiogenic shock should be primary PCI. “The immediate PCI strategy limited to the culprit lesion only” saves the life of our patient.

Acknowledgements

The authors would like to thank the patient for giving consent to this article and he is also co-author. Also, to all doctors and nursing team for making great efforts in caring him. The authors acknowledged the following; cardiac surgical team - Dr Yan Naung & Dr Kyaw Thura, intensive care team - Prof Yu Aye Latt, Dr Maung Maung Gyi & Dr Chan Myae, administrative support  - Prof Ko Ko Lwin, Prof Kyaw Zay Ya and Prof Myint Zaw.

Declaration of conflict of interest

The authors declared no potential conflicts of interests with respect to authorship and publication of this article.

Ethical approval

Our institution does not require ethical approval for reporting cases.

Funding

The authors received no financial support for publication of this article.

Informed consent

The informed consent for publication in this article was obtained from patient.

References

  1. Mahmud Ehtisham, Dauerman Harold L, Welt Frederick GP, Messenger John C, Rao Sunil V, et al. (2020) Management of Acute Myocardial Infarction During the COVID-19 Pandemic. J AM COLL CARDIOL 76: 1375–1384.
  2. Liang XY, Shang YS, Bai N, Zhong PY, Zhang WJ, et al. (2021) Management of acute coronary syndrome in the context of coronavirus disease 2019. Medicine p. 100. [Crossref]
  3. Ashraf S, Ilyas S, Alraies MC (2020) Acute coronary syndrome in the time of the COVID-19 pandemic. Eur Heart J 41: 2089–2091. [Crossref]
  4. Carugo S, Ferlini M, Castini D, Andreassi A, Guagliumi G, et al. (2020) Management of acute coronary syndromes during the COVID-19 outbreak in Lombardy: The “macro-hub” experience. Int J Cardiol Heart Vasc 31: 100662. [Crossref]
  5. Souza Júnior JM de, Kulchetscki RM, Linhares Filho JPP, Lima EG, Serrano Junior CV (2018) CULPRIT-SHOCK study. Revista Da Associação Médica Brasileira 64: 783–786.
  6. Siripanthong B, Hanff TC, Levin MG, Vidula MK, Khanji MY, et al. (2020) Coronavirus disease 2019 is delaying the diagnosis and management of chest pain, acute coronary syndromes, myocarditis and heart failure. Future Cardiol 17: 3–6. [Crossref]
  7. Alaide Chieffo, Giulio G. Stefanini, Susanna Price, Emanuele Barbato, Giuseppe Tarantini, et al. (2020) EAPCI Position Statement on Invasive Management of Acute Coronary Syndromes during the COVID-19 pandemic. EuroIntervention 16: 233–246. [Crossref]
  8. Chieffo A, Stefanini GG, Price S, Barbato E, Tarantini G, et al. (2020) EAPCI Position Statement on Invasive Management of Acute Coronary Syndromes during the COVID-19 pandemic. Eur Heart J 41: 1839–1851. [Crossref]
  9. Guidance NICE (2020) COVID-19 rapid guideline: acute myocardial injury (NG171).
  10. Wang L, Li J, Gao Y, Li R, Zhang J, et al. (2019) Association between coronary dominance and acute inferior myocardial infarction: A matched, case-control study. BMC Cardiovasc Disord 19: 35. [Crossref]
  11. Yan B, Yang J, Fan Y, Zhao B, Ma Q, et al. (2018) Association of coronary dominance with the severity of coronary artery disease: A cross-sectional study in Shaanxi Province, China. BMJ Open 8: e021292. [Crossref]
  12. Veltman CE, van der Hoeven BL, Hoogslag GE, Boden H, Kharbanda RK, et al. (2015) Influence of coronary vessel dominance on short- and long-term outcome in patients after ST-segment elevation myocardial infarction. Eur Heart J 36: 1023–1030.

Editorial Information

Editor-in-Chief

Jinyong Peng
Dalian Medical University, China

Article type

Case Report

Publication History

Received: February 19, 2021
Accepted: April 14, 2021
Published: April 19, 2021

Copyright

©2021 Phyu Pyar K. This is an open-access article distributed under the terms of the Creative Commons Attribution License, which permits unrestricted use, distribution, and reproduction in any medium, provided the original author and source are credited.

Citation

Phyu Pyar K, Si Myo A, Win Hlaing S, Htet Aung ZN, Lin Maung N, et al. (2021) Acute coronary syndrome with cardiogenic shock due to occlusion of right coronary artery in a young physician caring patients with COVID-19 infection: A Case report. J Med Therap 5: DOI: 10.15761/JMT.1000146.

Corresponding author

Khin Phyu Pyar

Department of Medicine, Defence Services Medical Academy, Mingalardon 11021, Myanmar

E-mail : bhuvaneswari.bibleraaj@uhsm.nhs.uk

Figure 1.1 ECG on arrival

Figure 1.2 ECG after Primary PCI

Figure 2. Complete occlusion of right coronary artery

Figure 3. Complete occlusion of LAD coronary artery (AP caudal view)

Figure 4. Complete occlusion of LAD coronary artery (LAO caudal view)

Figure 5. Right coronary artery after stent (AP view)

Figure 6. Right coronary artery after stent (LAO view)