Take a look at the Recent articles

A successful repair of a ruptured giant abdominal aortic aneurysm

Dragan Piljic

University Clinical Center Tuzla, Tuzla, Bosnia and Herzegovina

E-mail : bhuvaneswari.bibleraaj@uhsm.nhs.uk

Mustafa Tabakovic

University Clinical Center Tuzla, Tuzla, Bosnia and Herzegovina

Alen Hajdarevic c

University Clinical Center Tuzla, Tuzla, Bosnia and Herzegovina

Dilista Piljic

University Clinical Center Tuzla, Tuzla, Bosnia and Herzegovina

Nail Sehic

University Clinical Center Tuzla, Tuzla, Bosnia and Herzegovina

Tarik Bakalovic

University Clinical Center Tuzla, Tuzla, Bosnia and Herzegovina

Amar Skakic

University Clinical Center Tuzla, Tuzla, Bosnia and Herzegovina

Mirza Tokic

University Hospital Center Zagreb, Zagreb, Croatia

Fahrudin Sabanovic

University Clinical Center Tuzla, Cardiovascular Surgery Clinic, Tuzla, Bosnia and Herzegovina

Mate Petricevic

University Hospital Center Zagreb, Zagreb, Croatia

DOI: 10.15761/HPC.1000172

Article
Article Info
Author Info
Figures & Data

Abstract

A 78-year old man with a medical history of smoking, hyperlipidemia and hypertension was admitted to our department with ruptured abdominal aortic aneurysm (AAA) diagnosed by ultrasonography of the abdomen. The blood pressure was 60/20 mm Hg. An emergent computed tomography scan of the abdomen revealed a rupture of a giant infrarenal AAA of 16 cm in diameter with extensive intraluminal thrombus, evidence of rupture and large intraabdominal hematoma. The patient underwent a successful open surgical repair with placement of a Dacron tube graft 18 mm. The patient was transferred to the intensive care unit following successful surgical repair. Patient was transferred to the Department of cardiovascular surgery on postoperative day 2. Postoperative recovery resulted in hospital discharge at postoperative day 12.

Key words

abdominal aortic aneurysm, abdominal aortic aneurysm rupture, abdominal aortic surgery

Abbreviations

AAA: abdominal aortic aneurysm; CTA:computed tomography angiography

Introduction

The risk of AAA rupture is closely associated with the maximum aneurysm diameter. The annual rupture risk exceeds 14% [1] for aneurysms >6 cm and reaches 30-50% for AAA's exceeding 8 cm in diameter [2]. Undoubtely, the rupture risk of AAA is subject to considerable individual variability [3]. Apart from larger initial maximum aneurysm diameter, other faqctors such as female gender, current smoking status, lower forced expiratory volume in 1 second (FEV 1) as well as higher mean blood pressure are independently associated with the risk of AAA rupture [3]. It is extrremely rare to encounter very large aneurysms exceeding 10 cm in diameter as it is expected that such large aneurysms would have been either previously ruptured or repaired. Notably, under some uncertain protective circumstances AAA may reach extreme diameters up to 26 cm of maximum transverse diameter [4].

Case presentation

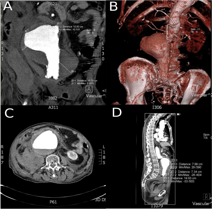
A 78-year old man with a medical history of smoking, hyperlipidemia and hypertension was admitted to our department with ruptured abdominal aortic anerysm (AAA) dignosed by ultrasonography of  the abdomen. The blood pressure was 60/20 mm Hg. An emergent computed tomography scan of the abdomen revealed a rupture of a giant infrarenal AAA of 16 cm in diameter with extensive intraluminal thrombus, evidence of rupture and large intraabdominal hematoma (Figure 1). Abdominal computed tomography angiography (CTA) with contrast showed a ruptured giant infrarenal AAA measuring 16x11 cm with a large mural thrombus and intra-abdominal hematoma compressing intra-abdominal organs (Figure 1)

Figure 1. Rupture and large intraabdominal hematoma

The patient underwent a succeful open surgical repair with placement of a Dacron tube graft 18 mm (Figure 2). Postoperative CTA with contrast showed complete sealing of the aneurysm with no endoleak detected (Figure 2). The patient was transfered to the intensive care unit following successful surgical repair. Patient was transfered to the department of cardiovascular surgery on postoperative day 2. Postoperative recovery resulted in hospital discharge at postoperative day 12.

Figure 2. Dacron tube graft

Discussion

Rupture of AAA is a catastrophic event associated with high mortality rate. Majority of patients die without getting to the operating room. Even if they reach operating room alive and undergo  surgical repair, only 50% of those survive beyond 30 days [3]. The open surgical repair of the ruptured giant AAA presents challenge due to numeruous significant technical difficulties that complement the huge size of the aneurysm such as short length of the neck and the dislodgement of abdominal organs that may be densely adhered to aneurysma surface sometimes resulting even in fistula formation [5].

Conclusion

Despite being associated with numerous technical difficulties and often hampered with bad outcomes, open surgical repair of ruptured giant AAA is sometimes only available treatment, which if timely performed, results in eventful recovery as in our case.

Informed consent

The patient provided written informed consent for publication of the figures.

Declaration of conflicting interest

The authors declare that there is no conflict of interest.

Funding

This work received no specific grant from any funding agency in the public, commercial, or not-fot-profit sectors.

References

  1. Brown PM, Zelt DT, Sobolev B (2003) The risk of rupture in untreated aneurysms: the impact of size, gender, and expansion rate. J Vasc Surg 37: 280-284. [Crossref]
  2. Brewster DC, Cronenwett JL, Hallet JW Jr, Johnston KW, Krupski WC, et al. (2003) Guidelines for the treatment of abdominal aortic aneurysms. Report of a subcommittee of the Joint Council of the American Association for Vascular Surgery and Society for Vascular Surgery. J Vasc Surg 37: 1106-1117.
  3. Brown LC, Powell JT with The UK Small Aneurysm Trial Participants. Risk factors for aneurysm rupture in patients kept under ultrasound surveillance. Ann Surg 230: 289-96.
  4. Rodrigues H, Bastos Gonçalves F, Ferreira ME (2014) Giant aneurysm of the abdominal aorta. J Vasc Surg 59: 826-827. [Crossref]
  5. Maras D, Lioupis C, Moulakakis KG, Sfyroeras G, Pavlidis P, et al. (2009) Giant abdominal aortic aneurysms: clinical and technical considerations. Acta Chir Belg 109: 376-80. 

Editorial Information

Editor-in-Chief

Kohei Akazawa
Niigata University Medical and Dental Hospital
Japan

Article Type

Case Report

Publication history

Received date: September 19, 2019
Accepted date: September 27, 2019
Published date: September 30, 2019

Copyright

©2019 Piljic D. This is an open-access article distributed under the terms of the Creative Commons Attribution License, which permits unrestricted use, distribution, and reproduction in any medium, provided the original author and source are credited.

Citation

Piljic D, Tabakovic M, Hajdarevic CA, Piljic D, Sehic N, et al. (2019) A successful repair of a ruptured giant abdominal aortic aneurysm. Health Prim Car 3: DOI: 10.15761/HPC.1000172

Corresponding author

Dragan Piljic

Department of Cardiovascular Surgery, University Clinical Center Tuzla, Bosnia and Herzegovina.

E-mail : bhuvaneswari.bibleraaj@uhsm.nhs.uk

Figure 1. Rupture and large intraabdominal hematoma

Figure 2. Dacron tube graft