Take a look at the Recent articles

A case with neurogenic pulmonary edema

Uzar T

Bahcesehir University, Faculty of Medicine, Istanbul, Turkey

Aslan M

Bahcesehir University, Faculty of Medicine, Istanbul, Turkey

Celik O

Samsun Medicalpark Hospital, Department of Neurosurgery, Samsun, Turkey

Dirican A

Samsun Medicalpark Hospital, Department of Neurosurgery, Samsun, Turkey

Yavuz Z

Ankara University, Faculty of Medicine, Department of Neurology, Ankara, Turkey

Ekaterina P

Bashkir State Medical University, Faculty of Medicine, Department of Pulmonary Medicine, Ufa, Russia

Ozkaya S

Bahcesehir University, Faculty of Medicine, Department of Pulmonary Medicine, Istanbul, Turkey

DOI: 10.15761/RDI.1000148

Article
Article Info
Author Info
Figures & Data

Abstract

Neurogenic pulmonary edema is a relatively rare and underdiagnosed clinical entitiy which is an increase in pulmonary interstitial and alveolar fluid. Neurogenic pulmonary edema develops within a few hours after a neurologic insult including spinal cord injury especially in subarachnoid hemorrhage. We aimed to present and discussion a 33-year-old man who developed neurogenic pulmonary edema following subarachnoid haemorrhage.

Key words

neurogenic pulmonary edema, subarachnoid haemorrhage, non-cardiogenic, pulmonary edema

Introduction

Neurogenic pulmonary edema(NPE) is a relatively rare and underdiagnosed clinical entitiy which is an increase in pulmonary interstitial and alveolar fluid. NPE develops within a few hours after a neurologic insult including spinal cord injury, subarachnoid hemorrhage(SAH), traumatic brain injury(TBI), intracranial hemorrhage, status epilepticus, meningitis, and subdural hemorrhage, have been associated with this syndrome [1-6]. We aimed to present a patient who developed NPE following subarachnoid haemorrhage.

Case Presentation

A 33-year-old man with no history of any significant past medical illness, admitted to the emergency room sudden onset fainting and loss of consciousness. CT scan of the head revealed the massive subarachnoid blood which consistent with subarachnoid haemorrhage (Figure 1A and 1B).

Figure 1A and 1B. CT scan of the head showing  the massive subarachnoid blood which consistent with subarachnoid haemorrhage(Figure 1A and B)

Shortly after admission, respiratory failure was developed with tachypnea and tachycardia. He was intubated and hemorrhagic pulmonary fluid was aspirated from endotracheal tube. Chest roentgenography showed the nonspecific, bilateral, rather homogeneous airspace consolidative appearances with an apical predominance which supported the non-cardiogenic pulmonary edema (Figure 2).

Figure 2. Chest roentgenography showing the nonspecific, bilateral, rather homogeneous airspace consolidative appearances with an apical predominance which supported the non-cardiogenic pulmonary edema

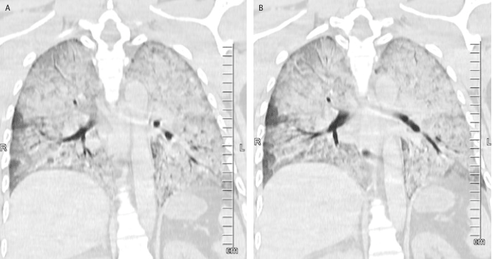
Thoracic CT scans demonstrated the bilaterally diffuse alveolar edema which consistent with neurogenic pulmonary edema (Figure 3 and 4).

Figure 3A and 3B.  The vertical section thoracic CT scans showing the bilaterally diffuse alveolar edema which consistent with neurogenic pulmonary edema(A and B)

Figure 4A and 4B. The coronal section thoracic CT scans showing the bilaterally diffuse alveolar edema(A and B)

The pulmonary edema recovered after 24 hours of IV fluid and furosemid treatment (Figure 5).

Figure 5. Chest radiograhy showing to the recorvered pulmonary edema after the treatment

Discussion

NPE is a potential early contributor to the pulmonary dysfunction. It develops within a few hours and caused by a myriad of CNS insults that raises Intracranial Pressure(ICP). Prevailing view is that a rapid elevation of ICP leads to neuronal compression, ischemia or damage; followed by an autonomic response. Sympathetic nervous system activation leads to release of catecholamines that results in cardiopulmonary dysfunction. The cellular mechanisms that cause capillary leakage are also not well understood. Modifications in neurovegetative pathways are probably the cause of sudden, significant increases in microvascular pressure in the lungs, particularly in the pulmonary venules. This leads to reduced venous outflow, which in turn causes pulmonary capillary and arterial hypertension [7]. Sudden onset of respiratory distress is a chief feature of NPE. Due to lack of treatment modalities, management of NPE consist of treating the underlying neurologic condition. Neurogenic pulmonary edema is described clinically as sudden onset breathlessness, tachypnoea, tachycardia, hemoptysis, bilateral lung crackles on auscultation, low oxygen saturation on arterial blood gas analysis. Neurogenic pulmonary edema seen as mostly homogenous, bilateral airspace consolidations(diffuse opacities) that predominate at the apices in about half of the cases, as seen in our case. Disappearance of radiologic findings in 1-2 days supports the absence of any diffuse alveolar damage [1-7].

In conclussion; NPE is acute onset and life-threatening complication especially in patients with subarachnoid hemorrhage. If diagnosed immediately, the rapid response to treatment can be obtained.

Disclosure

The authors have no conflicts of interest to declare.

References

  1. Simmons RL, Heisterkamp CA, Collins JA, Genslar S, Martin AM Jr (1969) Respiratory insufficiency in combat casualties. Arterial hypoxemia after wounding. Ann Surg 170: 45-52. [Crossref] 
  2. Rogers FB, Shackford SR, Trevisani GT, Davis JW, Mackersie RC, et al. (1995) Neurogenic pulmonary edema in fatal and nonfatal head injuries. J Trauma 39: 860-866. [Crossref] 
  3. Fontes RB, Aguiar PH, Zanetti MV, Andrade F, Mandel M, et al. (2003) Acute neurogenic pulmonary edema: case reports and literature review. J Neurosurg Anesthesiol 16: 144-150. [Crossref]
  4. Kaufman HH, Timberlake G, Voelker J, Pait TG (1993) Medical complications of head injury. Med Clin       North Am 77: 43-60. [Crossref] 
  5. Colice GL (1985) Neurogenic pulmonary edema. Clin Chest Med 6: 473-489. [Crossref] 
  6. Davison DL, Terek M, Chawla LS (2012) Neurogenic pulmonary edema. Crit Care 16: 212. [Crossref] 
  7. Agrawal Ai Timothy J, Pandi L (2007) Neurogenic Pulmonary Oedema. Eur J Gen Med 4: 25-32.

Editorial Information

Editor-in-Chief

Yi-Hwa Liu
Yale University

Article Type

Case Report

Publication history

Received date: January 07, 2019
Accepted date: January 18, 2019
Published date: January 21, 2019

Copyright

©2019 Uzar T. This is an open-access article distributed under the terms of the Creative Commons Attribution License, which permits unrestricted use, distribution, and reproduction in any medium, provided the original author and source are credited.

Citation

Uzar T, Aslan M, Celik O, Dirican A, Yavuz Z (2019) A case with neurogenic pulmonary edema. Radiol Diagn Imaging 3: DOI: 10.15761/RDI.1000148.

Corresponding author

Ozkaya S

Pulmonologist, Bahcesehir University, Faculty of Medicine, Department of Pulmonary Medicine, Istanbul, Turkey

Figure 1A and 1B. CT scan of the head showing  the massive subarachnoid blood which consistent with subarachnoid haemorrhage(Figure 1A and B)

Figure 2. Chest roentgenography showing the nonspecific, bilateral, rather homogeneous airspace consolidative appearances with an apical predominance which supported the non-cardiogenic pulmonary edema

Figure 3A and 3B.  The vertical section thoracic CT scans showing the bilaterally diffuse alveolar edema which consistent with neurogenic pulmonary edema(A and B)

Figure 4A and 4B. The coronal section thoracic CT scans showing the bilaterally diffuse alveolar edema(A and B)

Figure 5. Chest radiograhy showing to the recorvered pulmonary edema after the treatment