Take a look at the Recent articles

Improvement of angiodysplasia-derived anemia after transcatheter aortic valve implantation: A case report and literature review

Walid Hassan

Department of Cardiovascular Disease, International Medical Center, Jeddah, Saudi Arabia

E-mail : bhuvaneswari.bibleraaj@uhsm.nhs.uk

Mohammed H Lhmdi

Department of Cardiovascular Disease, International Medical Center, Jeddah, Saudi Arabia

Mariam Hassan

Department of Cardiovascular Disease, International Medical Center, Jeddah, Saudi Arabia

Abdulrahman A Katabi

Department of Cardiovascular Disease, International Medical Center, Jeddah, Saudi Arabia

Mohamed A Mostafa

Department of Cardiovascular Disease, International Medical Center, Jeddah, Saudi Arabia

DOI: 10.15761/HCCT.1000102

Article
Article Info
Author Info
Figures & Data

Abstract

Case summary: Aortic stenosis has been associated with anemia due to bleeding episodes from gastrointestinal angiodysplasia. It had been reported that surgical aortic valve replacement corrects the bleeding from angiodysplasia and the associated anemia. In this report, we present a case of a 79 years old female patient with angiodysplasia-derived anemia improved after transcatheter aortic valve implantation. 

Key words

transcatheter aortic valve implantation, angiodysplaia, anemia, improvement.

Introduction

Aortic valve stenosis (AS) can be complicated by bleeding particularly due to gastrointestinal (GI) angiodysplasia (Heyde s syndrome) [1-3]. This increased bleeding tendency appears to be due acquired type 2A VonWillbrand disease that happened in aortic stenosis patient [4-7]. Treatment of the aortic valve stenosis with surgical valve replacement was reported to improve the clinical angiodysplasia, the associated gastrointestinal bleeding and anemia [4,8,9].

Recently transcatheter aortic valve implantation (TAVI) have been used as an alternative method for treating aortic stenosis in patients with unacceptable high estimated surgical risks [10-12].

At the current time the data regarding to the remission of gastrointestinal angiodysplasia following TAVI is very limited [13].

Case description

A 79 years female patient known case of diabetes mellitus, hypertension, dyslipidemia, chronic renal impairment not on dialysis, rheumatic heart disease status post mitral mechanical valve replacement in 1999 and post tricuspid valve repair in 2007, chronic atrial fibrillation on chronic anticoagulant, severe calcified aortic stenosis, chronic anemia due to angiodysplasia with multiple hospital admission for blood transfusion, GI bleeding and congestive heart failure. The patient presented to the hospital with increased dyspnea on minimal exertion, orthopnea, paroxysmal nocturnal dyspnea and bilateral lower limb edema.

On physical examination, she was pale, eupneic. Pulse of 92 bpm, respiratory rate of 20 bpm, blood pressure 100/60 mmHg. Cardiovascular examination revealed, normal metallic mitral click, IV/VI late peaking ejective systolic murmur at aortic area with decreased carotid upstroke. Pulmonary examination revealed crackling rales at the bases. Peripheral edema ++, and decreased peripheral perfusion.

General tests revealed hemoglobin (Hb) of 6.8 g/dl, hematocrit 23%. Anemia work up was done previously including iron study, occult blood in stool, upper, lower endoscopy and capsule endoscopy all revealed the diagnosis of GI bleeding due to angiodysplaisa. Creatinine

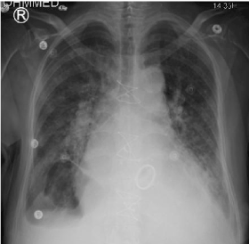
1.88 mg/dL and GFR cytatin was 21. Chest x ray showed pulmonary edema (Figure 1).

Transthoracic echocardiography done and showed normal ventricle size with left ventricular ejection fraction of 50%, left ventricular hypertrophy, sever degenerative aortic stenosis, the calculated surface of the aortic valve was 0.6 cm (0.4 cm/m2 ). Mean LV-Ao gradient is 58 mmHg and maximum pressure gradient is 86 mmHg.

The patient admitted as a case of congestive heart failure with severe anemia, she received 3 units of packed RBCs and the conventional treatment for heart failure.

After stabilization of the patient and improvement of her condition, TAVI procedure was proposed to the patient and family considering her very high surgical risk, and they accepted to proceed with TAVI.

Pre TAVI angiographic coronary evaluation showed non-significant coronary artery disease and suitable AV annulus size, right femoral and iliac arteries size for the transfemoral approach.

The TAVI procedure

TAVI was done successfully under only local anesthesia, conscious sedation and using transthoracic echocardiography. Using 5-French right radial approach for pigtail injection and using right femoral artery as a main site for valve delivery. We used Preclose two ProGlide system to the right femoral artery site and we used left femoral vein for temporary pacing.

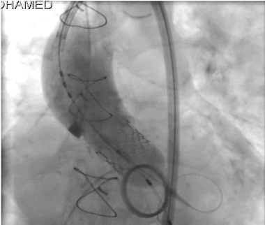
Under temporary pacing, we did first aortic balloon valvuloplasty using Edward 20 mm balloon, then, we decided to proceed with size #23 Edward Sapein bioprothetic and paln to overinflated with extra 2 cc of contrast. Edward size # 23 mm successfully deployed under fluoroscopy and transthoracic echocardiography with good result (Figure 2). The immediate post TAVI hemodynamic and echocardiography Doppler showed complete remission of the transaortic valve pressure gradient, no aortic regurgitation and no paravalvular leak.

The patient had a remarkable improvement post TAVI and became asymptomatic after a few days following the procedure until she was discharged home.

Before the procedure the average rate of admission due to severe anemia of our patient was every 1-2 months and on each admission the patient was receiving 2-3 units of packed RBCs, and the average pretransfusion Hb level was 6.6 mg/dl. In the first 3 months following the procedure, serial laboratory evaluations documented an improvement of the hemoglobin level of the patient reaching to 9.8 mg/dl, and no further drop in hemoglobin or GI bleeding.

Discussion

The association between aortic stenosis and digestive angiodysplasia has been described for the first time by E.C. Heyde in 1958 [2], an internist working in Vancouver.

GI bleeding angiodysplasia with co-existent autopsy- -proven AS was first corroborated in 1971 by Boss and Rosenblum [14]. The hypothesis of association between degenerative AS and GI bleeding due to colonic angiodysplasia was confirmed by further studies and in 1992 Warkentin et al suggested that GI bleeding angiodysplasia in aortic stenosis is caused by acquired type 2A von Willbrand disease [15].

A common element of acquired von Willebrand syndrome is a diminished von Willebrand factor, altered structure and/or limited function thereof as a consequence of a primary disorder. In case of high shear stress (e.g., AS), proteolysis of the large multimers is induced by the metalloproteinase ADAMTS13 (a disintegrin and metalloproteinase with thrombospondin motifs) [5]. 

Treatment of the aortic valve stenosis with surgical valve replacement was reported to improve the clinical angiodysplasia and the associated GI bleeding and anemia [4,8,9]. In 2011 Stalianos et al published one case report about reversal of angiodysplasia-dervied anemia after transcatheter aortic valve implantation [13].

Spangenberg et al found that in 2015 transcatheter aortic valve implantation is capable of correcting abnormal von Willebrand multimers and therefore possibly acquired von Willebrand syndrome in patients with AS [16].

We were first to start TAVI in the Middle East and Gulf region in 2008 as an alternative method to surgical AV replacement to many patients with severe calcific AS who have very high risk or prohibitive surgical risks [17,18]. Currently, we refined our approach to use only conscious sedation, local anesthesia, transthoracic echocardiography (no general anesthesia, no intubation hence reducing the procedure time and complications). We also do preclose 2 suture devices and no need for arterial cut down.

Our case had dramatic improvement of her GI bleed after TAVI and became asymptomatic with no further hospitalization for heart failure or need for transfusion. Although the hemoglobin level improved by approximately 3 mg/dl, but not yet back to the normal, and we think that the patient anemia was not solely due to the angiodysplasia as the patient also has other multiple comorbidties including chronic renal impairment which may partially contributed to the patient anemia.

We did not check the patient vonWillbrand after the procedure so we cannot be ascertained that the improvement of the patient anemia is due to improvement in the high molecular weight component of vWF.

Conclusions

Aortic valve stenosis can be complicated by bleeding particularly due to gastrointestinal (GI) angiodysplasia. This increased bleeding tendency appears to be due acquired type 2A VonWillbrand disease that happened in aortic stenosis patient.

Treatment of the aortic valve stenosis with surgical valve replacement was reported to improve the clinical angiodysplasia, the associated gastrointestinal bleeding and anemia. Recently transcatheter aortic valve implantation (TAVI) has been used as an alternative method for treating aortic stenosis in patients with unacceptable high estimated surgical risks.

We reported a complex although rewarding case of angiodysplasia, frequent severe GI bleed requiring multiple hospitalization and transfusion who achieved resolution of her GI bleeds post TAVI.

References

  1. Hudzik B, Wilczek K, Gasior M (2016) Heyde syndrome: gastrointestinal bleeding and aortic stenosis. CMAJ 188: 135-138. [Crossref]
  2. Heyde EC (1958) Gastrointestinal bleeding in aortic stenosis. N Engl J Med 259: 196.
  3.  Olearchyk AS (1992) Heyde's syndrome. J Thorac Cardiovasc Surg 103: 823-824. [Crossref] 
  4.  Vincentelli A, Susen S, Le Tourneau T, Six I, Fabre O, et al. (2003) Acquired von Willebrand syndrome in aortic stenosis. N Engl J Med 349: 343-349. [Crossref]
  5.  Panzer S, Badr Eslam R, Schneller A, Kaider A, Koren D, et al. (2010) Loss of high-molecular-weight von Willebrand factor multimers mainly affects platelet aggregation in patients with aortic stenosis. Thromb Haemost 103: 408-414. [Crossref]
  6. Natorska J, Bykowska K, Hlawaty M, Marek G, Sadowski J, et al. (2011) Increased thrombin generation and platelet activation are associated with deficiency in high molecular weight multimers of von Willebrand factor in patients with moderate-to-severe aortic stenosis. Heart 97: 2023-2028. [Crossref] 
  7. Blackshear JL, Wysokinska EM, Safford RE, Thomas CS, Stark ME, et al. (2013) Indexes of von Willebrand factor as biomarkers of aortic stenosis severity (from the Biomarkers of Aortic Stenosis Severity [BASS] study). Am J Cardiol 111: 374-381. [Crossref] 
  8.  Leibovitz E, Harpaz D, Elly I, Klepfish A, Gavish D (2004) Persistent anemia in otherwise asymptomatic severe aortic stenosis: a possible indication for valve replacement? Isr Med Assoc 6: 400-402. [Crossref]
  9. Pate GE, Mulligan A (2004) An epidemiological study of Heyde's syndrome: an association between aortic stenosis and gastrointestinal bleeding. J Heart Valve Dis 13: 713-716. [Crossref] 
  10. Leon MB, Smith CR, Mack M, Miller DC, Moses JW, et al. (2010) Transcatheter aortic-valve implantation for aortic stenosis in patients who cannot undergo surgery. N Engl J Med 363:1597.
  11. Kapadia SR, Leon MB, Makkar RR, Tuzcu EM, Svensson LG, et al. (2015) 5-year outcomes of transcatheter aortic valve replacement compared with standard treatment for patients with inoperable aortic stenosis (PARTNER 1): a randomised controlled trial. Lancet 385: 2485. [Crossref]
  12. Duncan A, Ludman P, Banya W, Cunningham D, Marlee D, et al. (2015) Long-term outcomes after transcatheter aortic valve replacement in high-risk patients with severe aortic stenosis: the U.K. Transcatheter Aortic Valve Implantation Registry. JACC Cardiovasc Interv 8: 645-653. [Crossref]
  13. Pyxaras SA, Santangelo S, Perkan A, Vitrella G, Rakar S, et al. (2012) Reversal of angiodysplasiaderived anemia after transcatheter aortic valve implantation. Journal of Cardiology Cases  5: 128-131.
  14. Boss EG Jr, Rosenbaum JM (1971) Bleeding from the right colon associated with aortic stenosis. Am J Dig Dis 16: 269-275. [Crossref] 
  15. Warkentin TE, Moore JC, Morgan DG (1992) Aortic stenosis and bleeding gastrointestinal angiodysplasia: Is acquired von Willebrand’s disease the link? Lancet 340: 35-37. [Crossref]
  16.  Spangenberg T, Budde U, Schewel D, Frerker C, Thielsen T, et al. (2015) Treatment of acquired von Willebrand syndrome in aortic stenosis with transcatheter aortic valve replacement. JACC Cardiovasc Interv 8: 692-700. [Crossref]
  17. Hassan W, Elwatidy A, Kassab S, AlSergani H, Bukhari E, et al. (2011) First Middle East Transcatheter Aortic Valve Implantation (TAVI) Experience: Immediate and 20 Months Follow-Up. Catheter Cardiovasc Interv Supp 77: 139.
  18. Elwatidy A, Hassan WM, Kassab S, Ahmari  S, Alsergani H, et al. (2011) First Middle East Transcatheter Aortic Valve Implantation (TAVI) Experience: Immediate and 18 Months Follow-Up. J Am Coll Cardiol 57.

Article Type

Case Report

Publication history

Received date: November 25, 2016
Accepted date: December 22, 2016
Published date: December 27, 2016

Copyright

© 2016 Hassan W. This is an open-access article distributed under the terms of the Creative Commons Attribution License, which permits unrestricted use, distribution, and reproduction in any medium, provided the original author and source are credited.

Citation

Hassan W (2016) Improvement of angiodysplasia-derived anemia after transcatheter aortic valve implantation: A case report and literature review. Hypertens Curr Concepts Ther 1: DOI: 10.15761/HCCT.1000102.

Corresponding author

Walid Hassan

Professor of Medicine Director, Cardiac Center of Excellence, International Medical Center, P.O. Box 2172, Jeddah 21451, Saudi Arabia Tel: + 966-12 6509000; Fax: + 966-12 650 9787

Figure 1. Chest X ray; Pulmonary edema.

Figure 2. TAVI Deployement.