Take a look at the Recent articles

Extremely high serum level of carbohydrate antigen 19-9 in a patient with colon adenocarcinoma

Jing Deng

Departments of Internal Medicine, The Wright Center for Graduate Medical Education, Scranton, PA, USA

These authors contributed equally to this work

E-mail : bhuvaneswari.bibleraaj@uhsm.nhs.uk

Qi Shi

Departments of Internal Medicine, The Wright Center for Graduate Medical Education, Scranton, PA, USA

Wasique Mirza

Departments of Internal Medicine, The Wright Center for Graduate Medical Education, Scranton, PA, USA

Mladen Jecmenica

Departments of Internal Medicine, The Wright Center for Graduate Medical Education, Scranton, PA, USA

Michael Yoder

Department of Pathology, Moses Taylor Hospital, Scranton, PA, USA

Rajan Mulloth

Departments of Internal Medicine, The Wright Center for Graduate Medical Education, Scranton, PA, USA

Erin Gordon

Departments of Internal Medicine, The Wright Center for Graduate Medical Education, Scranton, PA, USA

Arpit Sothwal

Departments of Internal Medicine, The Wright Center for Graduate Medical Education, Scranton, PA, USA

Sowmya Thanneeru

Departments of Internal Medicine, The Wright Center for Graduate Medical Education, Scranton, PA, USA

Sirish Dharmapuri

Departments of Internal Medicine, The Wright Center for Graduate Medical Education, Scranton, PA, USA

DOI: 10.15761/CRR.1000114

Article
Article Info
Author Info
Figures & Data

Abstract

A 76-year-old male patient with a diagnosis of ascending colon cancer presented with an extremely high serum level of CA 19-9 (122,714 U/ml) and moderate elevation of carcinoembryonic antigen (CEA) (62.4 ng/ml) preoperatively. Computed tomography (CT), Magnetic resonance cholangiopancreatography (MRCP) and Magnetic resonance imaging (MRI) could not detect any metastases to the biliary tract or pancreas. A right hemicolectomy with liver biopsy and lymph node dissection were performed. Histopathology revealed poorly differentiated mucinous adenocarcinoma with extensive lymphovascular invasion and liver metastasis.

One week post-op, serum levels of CA 19-9 and CEA were trending down to 90,046 U/ml and 56.9 ng/ml, respectively, without any anti-tumor treatment. This indicated that CA 19-9 could be a diagnostic as well as prognostic marker for advanced stage of colon carcinoma, with or without CEA

Key words

CA 19-9, CEA, colon cancer, liver metastasis

Introduction

In the United States, colorectal cancer (CRC) is the third most common cancer and the second leading cause of cancer-related deaths. Overall, the lifetime risk of developing colorectal cancer is about 1 in 21 (4.7%) for men and 1 in 23 (4.4%) for women. For 2016, the estimated number of new cases of colon and rectal cancer are 95,270 and 39,220, respectively, adding to a total of 134,490 new cases of colorectal cancer by the American Cancer Society [1].

Serum or tissue tumor markers have been extensively used in clinical practice for multiple purposes including screening and diagnosing cancers, predicting prognosis, monitoring response to treatment, and detecting recurrence. Among such markers, CA 19-9 is the most extensively studied and validated serum biomarker for the diagnosis of pancreatic cancer in symptomatic patients [2], while CEA is mainly used to monitor the treatment and recurrences of colorectal carcinoma, and for staging evaluation [3]. Interestingly, recent data shows that a combination of CEA and CA 19-9 could be used as the diagnostic markers in advanced stages of colon adenocarcinoma [4]. 

This report represents the case of a patient whose metastatic adenocarcinoma of the colon correlated with both CA 19-9 and CEA as serum biomarkers.

Case report

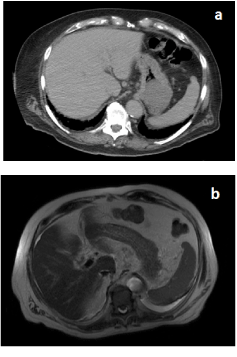
The patient is a 76-year-old Caucasian male presenting with progressive weakness, ambulatory dysfunction and mild anemia. CT of abdomen and pelvis revealed ascending colitis while liver, spleen, pancreas and adrenals appeared normal (Figure 1a). He was initially treated with antibiotics for colitis. His alkaline phosphatase and GGT levels were high up to 1200 U/L and 938 U/L respectively, SGPT was normal while SGOT was greatly elevated, suggestive of a common bile duct defect. MRCP, however, did not show any biliary duct dilation or filling defect within the biliary tree or any evidence of a pancreatic duct dilation (Figure 1b). Alpha fetoprotein level was normal (3.3 ng/ml). Colonoscopy was performed and a lesion highly suggestive of colon cancer was found in the ascending colon. The patient was admitted for surgery and further investigation.

The patient was scheduled for a right hemicolectomy. Intraoperatively, the patient’s liver was palpated and was found to have some small nodularity to it, consistent with metastatic disease. Ascending colectomy with ileocolonic anastomosis, liver biopsy and lymph node dissection were performed. The resected specimen was diagnosed as stage IV B adenocarcinoma of the colon. The tumor was classified as invasive, poorly differentiated mucinous/signet ring-type adenocarcinoma with extensive lymphovascular invasion (Figure 2). Liver biopsy was also positive for the same type of carcinoma. No chemotherapy was administered immediately after the surgery due to the patient’s condition. Serum levels of CA 19-9 and CEA were detected by immunoassay, which showed a downward trend one week postoperatively (Figure 3).

Figure 1. Images showing no metastasis in liver or pancreas or biliary tract. [a) Abdominal CT; b) Abdominal MRI]

Figure 2. Pathological analysis. a) Mucinous Adenocarcinoma: Nests of tumor cells floating in extracellular mucin, many with signet-ring features, infiltrating through muscular wall of colon (hematoxylin and eosin stain, 80 x original magnification); b) Mesenteric lymph node metastasis showing similar features (hematoxylin and eosin stain, 40 x original magnification).

2021 Copyright OAT. All rights reserv

Figure 3. Changes in CA 19-9 and CEA serum concentrations [Left Y-axis: CA 19-9 concentration (U/ml). Right Y-axis: CEA concentration (ng/ml). X-axis: pre-operation (pre-op) and post-operation (post-op) day 7].

Discussion

Developments in screening, prevention, biomarker and genomic analysis have significantly improved the detection and mortality statistics surrounding CRC. Serum levels of CA 19-9 and CEA are well-known tumor markers that are used in the diagnosis of CRC and are also reported to correlate with tumor progression, the degree of metastasis as well as the overall prognosis for colon cancer [5]. Data shows that the average value of CEA in adenocarcinoma is 559.6 ± 1810.6 while it is 2009.8 ± 722.9 for CA 19-9 [4]. However, they cannot be used in the diagnosis of non-metastatic colon cancer because of their non-specificity for early detection of colon cancer [6]. Recent retrospective-prospective study further confirms the important role of significantly elevated levels of CA 19-9 and CEA as later markers in metastatic colon cancer [4]. Conversely, Marks et al. reported the correlation of CEA but not CA 19-9 as serum biomarkers of disease activity in metastatic rectal adenocarcinoma [7].

In our case, the patient had a serum CA 19-9 level of 122,714 U/ml, leading to the initial consideration for pancreatic cancer or a biliary tract malignancy. However, CT of abdomen as well as MRCP failed to support that assertion. Initially an ERCP was planned to rule out this possibility, however, surgical intervention was planned instead. Surgical findings and subsequent pathology results led to a diagnosis of metastatic ascending colon adenocarcinoma. Both CA 19-9 and CEA levels decreased after surgical removal of cancer. This case is illustrative of the value in utilizing tumor markers to help with diagnosis and post-treatment surveillance. Although, there was a report showing a case of well differentiated adenocarcinoma located in the region of sigma and extremely high concentrations of both CA 19-9 and CEA without CT evidence of metastases, and recurrence of cancer by 18 months postoperatively [8], our case further proved the correlation between CA 19-9, CEA and advanced stage of colon cancer. It can also help avoid unnecessary or invasive tests to rule out malignancy in the pancreas or biliary tract as CA 19-9 is not only a marker for pancreas or biliary tract cancer but can also be used for colon cancer. Extremely elevated CA 19-9 concentrations are usually found in cases of cecoascendent adenocarcinomas of the colon [4].

The detailed mechanism of the phenomenon of elevated serum CA 19-9 and CEA levels in the case of cancer is still unclear. It could be due to the excessive expression of both markers by tumor cells and then are released from tumor tissue to surrounding vessels resulting in high serum levels.

Conclusion

We encountered this interesting case of metastatic colon cancer with abnormally high levels of the tumor markers of CA 19-9 and CEA, with negative imaging studies including CT and MRI. A combination of CA 19-9 and CEA can be utilized as the diagnostic markers for advanced stages of colon adenocarcinoma. 

References

  1. American Cancer Society. Cancer Facts and Figures 2016 [online]. Available from
    http://www.cancer.org/acs/groups/content/@research/documents/document/acspc-047079.pdf.
  2. Ballehaninna UK, Chamberlain RS (2012) The clinical utility of serum CA 19-9 in the diagnosis, prognosis and management of pancreatic adenocarcinoma: An evidence based appraisal. J Gastrointest Oncol 3: 105-119. [Crossref] 
  3. Duffy MJ (2001) Carcinoembryonic Antigen as a Marker for Colorectal Cancer: Is It Clinically Useful?". Clinical Chemistry 47: 624-630. [Crossref] 
  4. Vukobrat-Bijedic Z, Husic-Selimovic A, Sofic A, Bijedic N, Bjelogrlic I, et al. (2013) Cancer Antigens (CEA and CA 19-9) as Markers of Advanced Stage of Colorectal Carcinoma. Med Arch 67: 397-401. [Crossref] 
  5. Park IJ, Choi GS, Jun SH (2009) Prognostic value of serum tumor antigen CA19-9 after curative resection of colorectal cancer. Anticancer Res 29: 4303-4308. [Crossref] 
  6. Reiter W, Stieber P, Reuter C (2000) Multivariate analysis of the prognostic value of CEA and CA 19-9 serum levels in colorectal cancer. Anti-Cancer Res 20: 5195-5198. [Crossref] 
  7. Eric M, Matthew B, Wafik ED (2015) Correlation of CEA but not CA 19-9 as serum biomarkers of disease activity in a case of metastatic rectal adenocarcinoma. Cancer Biol Ther 16: 1136-1139. [Crossref] 
  8. Nakatani H, Kumon T, Kumon M (2012) High serum levels of both carcinoembryonic antigen and carbohydrate antigen 19-9 in a patient with sigmoid colon cancer without metastasis. J Med Invest 59: 280-283. [Crossref] 

Editorial Information

Editor-in-Chief

Dung-Fang Lee
The University of Texas

Article Type

Research Article

Publication history

Received date: February 12, 2017
Accepted date: March 06, 2017
Published date: March 10, 2017

Copyright

© 2017 Deng J. This is an open-access article distributed under the terms of the Creative Commons Attribution License, which permits unrestricted use, distribution, and reproduction in any medium, provided the original author and source are credited.

Citation

Deng J (2017) Extremely high serum level of carbohydrate antigen 19-9 in a patient with colon adenocarcinoma. Cancer Rep Rev 1: DOI: 10.15761/CRR.1000114

Corresponding author

Jing Deng

Departments of Internal Medicine, The Wright Center for Graduate Medical Education, Scranton, PA, USA

Figure 1. Images showing no metastasis in liver or pancreas or biliary tract. [a) Abdominal CT; b) Abdominal MRI]

Figure 2. Pathological analysis. a) Mucinous Adenocarcinoma: Nests of tumor cells floating in extracellular mucin, many with signet-ring features, infiltrating through muscular wall of colon (hematoxylin and eosin stain, 80 x original magnification); b) Mesenteric lymph node metastasis showing similar features (hematoxylin and eosin stain, 40 x original magnification).

Figure 3. Changes in CA 19-9 and CEA serum concentrations [Left Y-axis: CA 19-9 concentration (U/ml). Right Y-axis: CEA concentration (ng/ml). X-axis: pre-operation (pre-op) and post-operation (post-op) day 7].