Take a look at the Recent articles

An otherwise healthy athlete at high risk of cardioembolic stroke

Massimo Bolognesi

Department of Internal General Medicine, Sports Cardiology Medicine Center, Azienda Unità Sanitaria Locale della Romagna, Italy

E-mail : massbolo1@tin.it

DOI: 10.15761/GIMCI.1000105

Article
Article Info
Author Info
Figures & Data

Case report

Cardioembolic stroke is largely preventable, warranting efforts at primary prevention for major risk cardioembolic sources [1]. Ultrasound diagnostic techniques such as echocardiography have allowed clinicians to better characterize well-established sources of embolism and to discover other potential etiologies of cardioembolic stroke [2]. The more common high risk cardioembolic conditions are atrial fibrillation, recent myocardial infarction, mechanical prosthetic valve, dilated myocardiopathy, and mitral rheumatic stenosis. Cardiac emboli arising from the cardiac chambers are often large and hence especially likely to cause severe stroke, disability and death [3].

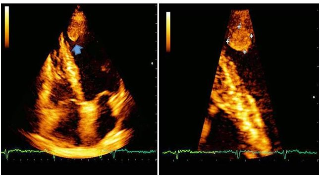
Detecting athletes with underlying heart disease is a great challenge for sports cardiology medicine. The goals of sports pre-participation screening are to prevent sudden death and other cardiovascular accidents in athletes. Herewith the author describes the history of an otherwise healthy 60-year-old amateur rider who came to our sports cardiology medicine center for sports pre-participation screening. His family history was unremarkable and physical examination was normal. He claimed he felt fit and that he was taking regular physical activity by cycling. His old ECG of 2014 was normal (Figure 1); the last ECG of 2015 (Figure 2) was abnormal for findings of recent anterior myocardial infarction. A subsequent echocardiogram through classical and magnified apical 4 chamber view showed left ventricular apical akinesis with small apical thrombus (Figure 3) which protrudes into the cavity and demonstrates mobility in real-time imaging (Videos 1 & 2). The athlete was admitted to cath lab for revascularization procedure and anticoagulation therapy was started.  The risk of cardioembolic stroke was very high. Trans-thoracic echocardiography (TTE) is usually the initial cardiac imaging modality, and reliably detects left ventricular wall motion abnormalities, and left ventricular thrombus. Nowadays, its use in sports cardiology medicine is mandatory to detect underlying and dangerous heart disease such as myocardial infarction complicated with LV thrombus in asymptomatic athletes [4].

Figure 1: Normal ECG of 2014.

Figure 2: Abnormal ECG of 2105 with findings of anterior myocardial infarction.

Figure 3: Echocardiographic findings of left ventricular apical thrombus (see arrow and magnified imaging) by apical 4 chamber view.

Disclosures

None

References

  1. Hart RG, Albers G, Koudstaal P (1998)Cardioembolic stroke. Ginsberg M, Bogousslavsly J, eds. Cerebrovascular Disease: Pathophysiology, Diagnosis and Management. Blackwell Science1998: 1392-429.
  2. Wessler BS, Kent DM (2015) Controversies in cardioembolic stroke. Curr Treat Options Cardiovasc Med 17:358.[Crossref]
  3. Arboix A, Alió J (2010)Cardioembolic Stroke: Clinical Features, Specific Cardiac Disorders and Prognosis. Curr Cardiol Rev6:150-161.[Crossref]
  4. Delewi R, Zijlstra F, Piek JJ (2012)Left ventricular thrombus formation after acute myocardial infarction.Heart 98:1743-1749.[Crossref]

Editorial Information

Editor-in-Chief

Dario Marchetti
Baylor College of Medicine

Article Type

Case Report

2021 Copyright OAT. All rights reserv

Publication history

Received: November 18, 2015
Accepted: November 26, 2015
Published: December 01, 2015

Copyright

©2016 BolognesiM.This is an open-access article distributed under the terms of the Creative Commons Attribution License, which permits unrestricted use, distribution, and reproduction in any medium, provided the original author and source are credited.

Citation

BolognesiM (2016). An otherwise healthy athlete at high risk of cardioembolic stroke.Gen Int Med ClinInnov1: doi:10.15761/GIMCI.1000105

Corresponding author

Massimo Bolognesi, MD

Department of Internal General Medicine, Sports Cardiology Medicine Center, AziendaUnità Sanitaria Locale della Romagna, Via Ungaretti, 494 , 47521 Cesena, Italy, Tel: +390547645074

E-mail : massbolo1@tin.it

Video 1 and 2:LV apical akinesis with small apical thrombus which protrudes into the cavity and demonstrates mobility by classical and magnified apical 4 chamber view.

Figure 1: Normal ECG of 2014.

Figure 2: Abnormal ECG of 2105 with findings of anterior myocardial infarction.

Figure 3: Echocardiographic findings of left ventricular apical thrombus (see arrow and magnified imaging) by apical 4 chamber view.