Take a look at the Recent articles

A case report: A patient with Crhon’s disease clinically characterized by refractory digestive tract blooding and serious hypo-albumin

Cheng L

Department of Gastroenterology, Hainan General Hospital, Haikou City, 570311, P.R. China

E-mail : bhuvaneswari.bibleraaj@uhsm.nhs.uk

Xiaoning S

Department of Gastroenterology, Hainan General Hospital, Haikou City, 570311, P.R. China

Zhoutao H

Department of Gastroenterology, Hainan General Hospital, Haikou City, 570311, P.R. China

Xiangyang H

Department of Gastroenterology, Hainan General Hospital, Haikou City, 570311, P.R. China

DOI: 10.15761/GMO.1000146

Article
Article Info
Author Info
Figures & Data

Introduction

Crhon’s disease is a kind of autoimmune diseases mainly occurring in digestive tract, which is still difficult to be treated due to its prolonged and refractory characteristic. CD is Clinically characterized by various manes fictions, including abdomen pain, diarrhea, abdominal mass, fistula, etc. Usually it is difficult to make a precise diagnosis, especially when it occurred within small intestine.

Case report

A 30 years old young man was brought to department of gastroenterology because of refractory black stool for 6 years. The patient had black solid stool, 150g/d, accompanied with dizziness,palpitations and weak. but without abdomen pain, abdominal distension,vomit and mucopurulent bloody stool。The patient was brought to hospital for several times and was treated as digestive tract blooding. But the location and reason of blooding was unclear. He was examined by gastric and colon endoscopy but had no precise diagnosis, even under the small intestine endoscopy and pathological analysis. CT examination only show light degree distension of transverse colon.

PE: T 36.7℃ P 105/min R 20/min BP 102/50 mmHg。mmH Serious anaemia appearance, with no obvious abnormal appearance in heart, lung and abdomen. There was serious edema in his lower trunk.

Helpful Examination

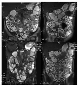
serum potassium 3.00 mmol/L,Serum albumin17.7 g/L,C reaction protein 29.75 mg/L, folic acid 25.20 nmol/L, Vitamin B12 180.0 pmol/L. The antibodies against CMV, EB were negative, as well as T-spot (Figures 1-3).

Figure 1. Esophagitis (fungus)Multiple apophysis lesions mul (polyus?), Duodenal bulb inflammation

Figure 2. Colon endoscopy: sigmoiditis.

Figure 3. MRE; the ileum many Segmental thickening and abnormal strengthening, Conhon Disease. Between the midriff intestinal canal abnormal signal nodule, considering as swollen lymph nodes

Treatment

The patient was treated with thalidomide. He was transferred with red blood cells to revise his serious anemia, with albumin to revise serious hypo-albumin, as well as diuretic therapy,nutrient support in vitro.

After several weeks ‘treatment, the patient’s symptoms remarkably improved or disappeared. He had no abdomen pain, abdomen distension, black stool, and no edema of lower limbs, with HGB 81g/L, ALB 29.5g/L,and CRP 22.9mg/L.

Discussion

Digestive tract blooding is not a usual symptom of CD. In our case report, the patient went into hospital for several times due to this symptom, accompanied with serious low serum albumin. Usually black stool suggests that some disease in the upper tract, firstly we examined the patient by gastro-endoscopy but found no lesions which could explain the black stool. Then we check him by colon endoscopy. Unfortunately, nothing again. The patient has been examined at another hospital by small intestine endoscopy, which show chronic inflammation and erosion,polyp in the small intestine. MRE is a new technique helping to show the details in small intestine. MRE clearly show the lesions in the patient’s small intestine, characterized as CD.

On the other hand, the patient shows serious serum hypo-albumin, probably resulted from the disease activation and the loss from the digestive tract. Positive nutrient support is essential for his recovery.

Furthermore, continuous and regular treatment with immune-depress drug is essential for the control and recovery of CD. In our case report, the patient did not fellow his doctor’s treatment to use thalidomide. Immune-depress drug can suppress the activation of this kind of disease, and the digestive tract blooding as well.

Conclusion

when meeting with unexplained anomia and hyo-alboluimne, we should think about CD, and when gastro-endoscopy and colon-endoscopy could not show the obvious changes in the upper and lower intestine, the disease in small intestine should be considered.

Editorial Information

Editor-in-Chief

Article Type

Case report

Publication history

Received date: October 13, 2018
Accepted date: October 23, 2018
Published date: October 25, 2018

Copyright

© 2018 Cheng L. This is an open-access article distributed under the terms of the Creative Commons Attribution License, which permits unrestricted use, distribution, and reproduction in any medium, provided the original author and source are credited.

Citation

Cheng L (2018) A case report: a patient with Crhon’s disease clinically characterized by refractory digestive tract blooding and serious hypo-albumin. Gen Med Open, 2: DOI: 10.15761/GMO.1000146

Corresponding author

Cheng Lan

Department of Gastroenterology Hainan General Hospital P.R. China

E-mail : bhuvaneswari.bibleraaj@uhsm.nhs.uk

Figure 1. Esophagitis (fungus)Multiple apophysis lesions mul (polyus?), Duodenal bulb inflammation

Figure 2. Colon endoscopy: sigmoiditis.

Figure 3. MRE; the ileum many Segmental thickening and abnormal strengthening, Conhon Disease. Between the midriff intestinal canal abnormal signal nodule, considering as swollen lymph nodes